Response of non-small cell lung cancer harboring different epidermal growth factor receptor mutations to ablative radiotherapy
Highlight box
Key findings
• Novel demonstration that non-small cell lung cancer (NSCLC) cell lines with DEL-EGFR mutations have a better response to SABR compared to WT-EGFR or L858R-EGFR mutations, and the presence of necrosis suggests a poor response to SABR.
What is known and what is new?
• The Cancer Genome Atlas data shows that patients with an L858R-EGFR mutation are associated with worse overall survival compared to other EGFR-mutated NSCLCs. A single-institution retrospective study by Mebratu et al. suggests worse local control for patients harboring L858R-EGFR mutations compared to other NSCLCs.
• Our work gives prima facie evidence of a differential response to SABR in EGFR-driven lung cancers (LCs) with different EGFR mutation statuses and suggests the presence of necrosis as a marker of poor response to SABR while also providing in vivo evidence of worse local control in SABR-treated EGFR-L858R mutated LCs.
What is the implication, and what should change now?
• The response to SABR in early-stage EGFR mutated NSCLC may be driven by the subtype of EGFR-mutation, with cancers harboring DEL-EGFR mutation having a better response to SABR and those with L858R-EGFR mutations having a worse response. Clinicians should consider determining EGFR mutation status prior to management with SABR, and future studies investigating dosing and fractionation schedules in EGFR-driven LCs treated with SABR are needed for clinical validation.
Introduction
Background
Lung cancer (LC) remains the leading cause of cancer mortality worldwide in both men and women (1). LCs are classified into small cell lung cancer (SCLC) and non-small cell lung cancer (NSCLC). NSCLCs represent 85% of all LCs and are histologically divided into squamous cell carcinoma (SQC), adenocarcinoma (ADC), and NSCLCs-not otherwise specified (NOS) (2). Surgical resection is the standard treatment for patients with stage I and II NSCLC (3). Patients who either decline or are unsuitable for surgery are offered stereotactic ablative radiation therapy (SABR) as an alternative definitive treatment. SABR comprises 1–5 high-dose fractions of radiotherapy (RT) and is suitable for LC lesions up to 5 cm in diameter (4,5). There’s no consensus on the dose per fraction or total dose of SABR, but most clinical trials use 10–30 Gy per fraction with consideration for location of the tumor and proximity to the heart. Outcomes after SABR are excellent with 80–95% OS after 3 years in early-stage lung cancer (ES-LC). However, such outcomes are multifactorial and depend on tumor size, location, histology, pre-treatment positron emission tomography (PET)/computed tomography (CT) standardized uptake value (SUV), and age (6,7). In addition, epidermal growth factor receptor (EGFR) status has been shown to impact treatment outcomes after SABR (8). It is estimated that approximately 15% of NSCLC ADC patients carry mutations in the tyrosine kinase domain (TKD) of EGFR with a high frequency (up to 62%) in non-smokers and Asians (9-11). The most common EGFR mutations include: frameshift deletion in exon 19 or a substitution of the leucine amino acid to arginine at codon 858 of exon 21 (12). Stage IV NSCLC with EGFR mutations is associated with a good response to tyrosine kinase inhibitors (TKIs), such as gefitinib and erlotinib, as first-line treatment compared to standard chemotherapy (13). Few studies have addressed the role of EGFR mutations with respect to treatment response. In 2012, Rosell et al. conducted a randomized clinical trial comparing erlotinib versus standard chemotherapy in patients with stage IV NSCLC with EGFR mutations (14). Patients with EGFR mutations treated with erlotinib had a median progression-free survival (PFS) of 9.7 months compared to 5.2 months in the chemotherapy group. Additionally, subgroup analysis showed that patients with a deletion in exon 19 (DEL-EGFR) had better PFS when treated with erlotinib (11.0 months) compared to those with L858R-EGFR mutation (8.4 months).
Rationale and knowledge gap
Analyses of SABR outcomes in EGFR-mutant LCs have not been reported. For a baseline assessment of the relevance of EGFR mutations in relation to overall survival in LCs, we reviewed overall survival data from The Cancer Genome Atlas (TCGA) for NSCLC. A total of 324 cases were reported [294 wild-type (WT), 18 L858R, 12 DEL]. Limited analysis showed a worse overall survival outcome for those with an L858R mutation when compared to WT-EGFR status (Figure 1). Our group has developed a pre-clinical orthotopic animal model to assess tumor response to SABR (15). In this model, human ADC A549 NSCLC cell lines were injected intrathoracically into nude rats. After treatment with a single fraction of 34 Gy, a complete response to SABR was observed in 4 out of 6 treated animals; however, 50% of treated animals developed distant metastases (15). As the A549 cells are EGFR-expressing cells, these results prompted us to investigate the relationship between the observed effects and the mutation status of EGFR. While the relationship between EGFR mutation status and response to EGFR inhibitors is well documented, its direct correlation with SABR outcomes remains unclear. To date, there is no published data describing the relationship between different EGFR-mutations on NSCLC response to SABR in vitro and in vivo.
Objective
In this novel work, we investigate the response of EGFR-mutated LC cells to SABR in vitro and in vivo and hypothesize that EGFR status may be a crucial therapeutic biomarker for SABR. We present this article in accordance with the ARRIVE reporting checklist (available at https://tlcr.amegroups.com/article/view/10.21037/tlcr-2024-1034/rc).
Methods
Cell culture and transduction of isogenic EGFR-mutant cell lines
Isogenic EGFR-mutant NSCLC cell lines were generated using A549 (ATCC, VA, USA) transfected with lentivirus carrying gene construct of WT-EGFR, EGFR frameshift deletion E746-A750 (DEL), or point-substitution mutation at amino acid position 858 (L858R) (16). Cells were cultured at 37 °C and 5% CO2 in Roswell Park Memorial Institute (RPMI) supplemented with 5% fetal bovine serum (FBS) and blasticidin for selection.
Colony formation assay and cell viability
Colony formation assay was performed similarly to a previously published work (17). Briefly, exponentially growing cells were irradiated with increasing doses of irradiation (IR) (0–8 Gy). To investigate EGFR-mutant cell lines ability to overcome ablative radiation, isogenic cells were seeded at a density of 3,000 cells and irradiated with a single dose of 0 Gy (Control), 12 Gy, or 34 Gy. Faxitron X-ray machine (Faxitron X-ray Corporation, IL, USA) was used for IR at an X-ray tube voltage of 160 kVp, current of 6.3 mA, and dose rate of 0.66 Gy/min. Cells were cultured at 37 °C and 5% CO2 for 8–10 days, fixed with formalin, and stained with methylene blue.
Cell viability assessment
Twenty-four hours post-IR, cells were washed with 1× phosphate-buffered saline (PBS), trypsinized, and analyzed for viability, total cell count, and measurement of cell diameter using Vi-Cell Cell Counter.
Cell cycle and cellular proliferation analysis
Cell cycle and cellular proliferation analysis were done as described in Appendix 1.
Generation of luciferase-expressing EGFR-mutant NSCLC cell lines
For in vivo experiments, EGFR-mutant cells were transfected with a lentiviral vector that expresses blue fluorescent protein (BFP)-luciferase. The transfected cells were sorted and used for subcutaneous injection (Figure S1). Bioluminescence imaging (BLI) using the IVIS Lumina (PerkinElmer, MA, USA) was performed to confirm viability of injected cells (18). Mice were anaesthetized by 2% isoflurane inhalation, followed by an intraperitoneal (IP) injection (10 µL/g of animal weight) of D-Luciferin (15 mg/mL in PBS, Cedarlane, Ontario, CA, USA). Bioluminescent images were acquired at 5-minute intervals.
Tumor formation of pre-irradiated EGFR-mutant NSCLC
Isogenic EGFR-mutant cells were irradiated in vitro with a single fraction of 34 Gy and injected subcutaneously at a concentration of 2.0×106 cells mixed with Matrigel in a 1:1 ratio for a total of 200 µL per mouse for a total of 18 mice (n=6 per cell line). These groups of mice are denoted throughout the study as pre-IR-WT, pre-IR-DEL, or pre-IR-L858R. Yellow fluorescent protein-severe combined immunodeficiency (YFP/SCID) mice aged 6 to 8 weeks, were used for subcutaneous injection.
Cone beam computed tomography (CBCT) and ablative RT
EGFR-mutated cell lines were injected subcutaneously with a concentration of 2.0×106 cells mixed with Matrigel in a 1:1 ratio for a total of 200 µL per mouse in 36 mice (n=12 per cell line). Following injection, caliper measurements were carried out to determine tumor growth, which is reported as tumor volume calculated using Eq. [1], where V is the volume, w is the width, and l is the length.
Measurements were performed by a research assistant blinded to the study. Mice were randomly assigned to receive either a single fraction of 34 Gy (treated group), or no treatment (control group). Tumor volume was measured both on the day before (Day 0) and nine days post-treatment. Tumor volume changes were calculated relative to the day 0 volume.
CBCT was performed using X-RAD 225Cx (Precision X-Ray Inc., CT, USA) to confirm tumor localization and size. Mice were anaesthetized by 2% isoflurane inhalation and positioned on the CBCT bed. Images were captured at an isotropic voxel size of 45 µm (40 kV, 500 µA, and 400 ms integration time) (Figure S2). CBCT images were acquired using the X-RAD 225Cx small animal irradiator and processed using the Small Animal Radio Therapy (SmART) plan treatment system (Precision X-ray Inc.) for contouring (18,19). A treatment of a single fraction of 34 Gy, was delivered to the mouse (Figure S3). Experiments were performed under a project license (No. 2015-7655) granted by the McGill University Animal Care Committee and all animal protocols and procedures were carried out with approval as per institutional standards of the McGill University Animal Care Committee.
Histological tissue processing and protein extraction
To investigate whether SABR has altered the tumor morphology of isogenic EGFR-mutant cells, a histological assessment of % of necrosis, architectural pattern, and number of apoptotic cells was performed. Once animals reached the endpoint of the experiments, tumors were collected and fixed using 10% formalin for at least 48 h. Tissues were routinely processed and paraffin-embedded. Five µm slides were stained by hematoxylin and eosin (H&E) and assessed by a pathologist, blinded to the EGFR mutation information. The following information was gathered: proportion of tumor necrosis (estimated in 10% increments), number of apoptotic cells (counted from 10 consecutive high-power fields, distant from necrotic areas) and architectural pattern (% of solid tumor estimated in 10% increments). Protein extraction and immunoblotting were performed as described in Appendix 1.
Statistical analysis
All in vitro experiments were performed independently at least three times. One-way analysis of variance (ANOVA) or two-tailed Student’s t-test was used to compare between treated and non-treated groups. Statistical significance was set at P<0.05, P<0.01 and P<0.001. Statistics were evaluated in the Statistical Product and Service Solutions v28.01. No criteria were set for excluding experimental units or data points, and all collected data were included in the analysis.
Results
Response to SABR in isogenic EGFR-mutant NSCLC
To assess the differential response to radiation in EGFR mutant NSCLCs, A549 cells transfected with lentivirus carrying gene constructs of WT, DEL or L858R were used in clonogenic assays and revealed no significant difference between cell lines (Figure 2A). Cell viability using Vi-Cell (Figure 2B) demonstrated a decrease in the number of viable cells at 12 and 34 Gy by 54% and 63%, respectively, in WT; 45% and 50%, respectively, in DEL; and 46% and 56%, respectively, in L858R. To compare the radioresistance profile of isogenic EGFR-mutant cell lines, we performed the gold-standard clonogenic assay. As shown in Figure 2C, EGFR-mut cell lines showed enhanced radioresistance (SF2 of 0.7 vs. SF of 0.88). An increase in the G2-phase of the cell cycle was also noted in all three cell lines following SABR with 12 and 34 Gy (Figure 2D). Measurements of the proliferation rate post-SABR showed a significant decrease in DEL-EGFR at 48 and 72 h post radiation (P<0.05 and P<0.01, respectively) and of L858R-EGFR at 72 h (P<0.05) (Figure 2E).
NSCLC harboring EGFR-DEL mutation exhibits a better response to SABR compared to EGFR-WT and EGFR-L858R mutation in vivo
To determine the response of tumors harboring EGFR-WT, EGFR-DEL or EGFR-L858R in vivo, we implanted tumor cells orthotopically in rats and performed image-guided IR (34 Gy). BLI was used to confirm viability of injected cells and tumor size was measured weekly using CT (Figure 3). Tumor measurements showed animals injected with Pre-IR-L858R had the greatest tumor volume, with an average of 7.89 cm3 (range, 0.8–34.1 cm3), compared to Pre-IR-WT and Pre-IR-DEL with an average tumor volume of 0.66 cm3 (range, 0–1.64 cm3) and 0.02 cm3 (range, 0–0.07 cm3), respectively. Animals injected with Pre-IR-DEL showed no tumor development despite BLI confirmation of viability 12 months following injection.
We demonstrate a complete response to SABR in an orthotopic animal model injected with an A549 cell line (15). To assess the response to SABR in isogenic mutant cells, animals were injected subcutaneously in the left flank of YFP/SCID mice and randomly chosen to receive no treatment or a single fraction of 34 Gy. The median survival of mice with EGFR WT-treated and EGFR L858R-treated tumors was 51 and 43 days, respectively (Figure S4). However, nine days post-treatment, a significant decrease in tumor volume was noted in the DEL-treated group compared to WT-treated and L858R-treated groups, while WT and L858R-treated groups both exhibited increased tumor volume post-SABR treatment (Figure 4).
Histological assessment of isogenic EGFR-mutant NSCLC following SABR treatment
We analyzed tumor samples collected from WT, DEL, and L8585R mice treated with 34 Gy or control 0 Gy for percentage of necrosis, % solid tumor, and the number of apoptotic cells. The % necrosis was similar in control and treated tumors from WT mice (33% vs. 27%). In contrast, we did not observe any necrosis in DEL-treated mice (0% compared to 35% in control DEL mice), and in L858R-treated mice, a difference was observed (22% compared to 50% in L858R-control mice) (Figure 5A-5C). The % solid tumor was similar in control and treated tumours across all mice (32% vs. 28% in WT; 30% vs. 20% in DEL; and 30% vs. 25% in L858R) (Figure 5D-5F). A significant decrease in the average number of apoptotic cells was observed between the treated and control DEL mice (51 vs. 21). In contrast, they were similar between treated and control WT mice (78 vs. 92) and L858R mice (86 vs. 63) (Figure 5G-5I).
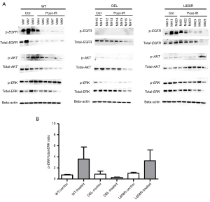
Expression of EGFR in tumor derived from isogenic EGFR-mutant post-SABR
To understand mechanistic differences between the different isogenic tumors in response to SABR, we analyzed tumor tissue using immunoblotting. We assessed the expression of phospho-EGFR (p-EGFR), total-EGFR, phosphor- and total-Ak strain transforming AKT (p-AKT, total-AKT), phosphor- and total extracellular signal-regulated kinase (p-ERK, total-ERK) (Figure 6A), and proteins implicated in cell survival, proliferation, and apoptotic processes. Measured p-ERK levels decreased by a factor of 0.7 in the DEL-treated group and increased by factors of 4.9 and 3.2 in the WT-treated and L858R-treated groups, respectively (Figure 6). These data correlate with reduced cell proliferation and tumor growth observed in the DEL-EGFR-mutant NSCLC post-SABR when compared to WT- and L858R-EGFR-mutant tumors.
Discussion
Key findings
We demonstrated a differential response to SABR in EGFR-driven LC using isogenic cell lines with different EGFR mutation status. Our data suggests that the presence of necrosis is an indicator of poor response to SABR. Our response analyses were based on: (I) subcutaneous injection of pre-irradiated cells; and (II) measurements of tumor volume in vivo followed by SABR. In vivo results suggest that response to SABR varies with the EGFR mutation status of the cells. In contrast, in vitro cellular responses (e.g., colony formation, cell viability, cellular proliferation, and cell cycle analysis) to SABR were not mutation dependent. This marked difference may be attributed to factors in the tumor microenvironment. In vitro, cells are cultured in a monolayer, whereas in vivo, they are influenced by their surrounding microenvironment and its different stimuli (e.g., growth factors, metabolites, angiogenesis) that may trigger different signaling pathways.
Tumors harboring DEL-EGFR were incapable of forming tumors in vivo when cells were pre-irradiated prior to injection. A decreased tumor volume nine days post-SABR was noted in the DEL-EGFR group, whereas WT-EGFR and L858R-EGFR groups showed an increase in tumor volume 9 days post-SABR. Additionally, there was sustained ERK activation, a key factor in cell proliferation and tumor growth (20), in tumors collected from WT-EGFR and L858R-EGFR treated groups compared with DEL-EGFR treated group, which had decreased ERK activation levels. Differences in ERK activation may explain the differential tumor proliferation and apoptosis profile.
A significant increase in necrosis, or fibrosis associated with necrosis and less dense tumor, has been reported in tumors with partial response to SABR (21,22). These results support our preclinical findings suggesting necrosis as an indicator of poor response to SABR. In this work, the DEL-treated group had no necrosis when compared to the WT-treated and L858R-treated groups, and this correlates with response to SABR. Differential histological response to SABR may be due to EGFR status. This work provides data that are in agreement with our in silico analysis of publicly available TCGA data (see Figure S4) of early-stage-NSCLC patients (23-25) that showed low overall survival of patients with L858R-EGFR mutation compared to DEL-EGFR.
Strengths and limitations
The primary strength of this contribution is the novel in vitro and in vivo evidence of differential response of EGFR-mutated LC to SABR with rigorous analyses and validation of cell viability before and after administration of SABR and methods focused on maintaining the scientific integrity of the study through blinding of those performing the analyses. Additionally, the variability of response in vivo compared to in vitro that highlights the importance of the tumor microenvironment in oncogenesis and response to therapy, was well demonstrated with the detailed experiments. Limitations of this work stem primarily from the use of a subcutaneous tissue graft for tumor deposition and evaluation. This limitation can be appreciated, again, in the context of the tumour microenvironment, specifically, that an ES-LC would be localized in the lung parenchyma, not as a subcutaneous tumor, and thus, its response to therapy may be further modulated by factors in the lung environment. These limitations may affect the ability to generalize our results to the clinical population, however, since this clinical data is not currently available, and the differential responses demonstrated here are novel, it can serve as an appropriate hypothesis-generating work that can hopefully be validated in the clinic.
Comparison with similar research
SABR has become an alternative standard of care for ES-NSCLC patients who are ineligible or decline surgery (3). Although radiation offers a high rate of local control (nearly 90% at 5 years), high rates of distant metastases (up to 30%) remain the most common cause of death. Very few models exist that address the fate of cells in vivo following SABR. We demonstrate the response of LC cells harboring EGFR-mutation to SABR in vivo. We selected common EGFR mutations used as biomarkers for response to TKI therapy.
Active EGFR mutations have been the primary targets for therapeutic intervention in NSCLC, with the two most common mutations being exon 19 deletion (60%) and L858R point mutation (35%), where leucine is replaced by arginine at position 858 of exon 21. Despite the importance of these biomarkers for EGFR-targeted therapies and the critical role of radiation therapy in the clinical management of LCs, there is almost no published literature comparing the fate of cells harbouring specific EGFR mutations in vivo following exposure to radiation. To our knowledge, only one other group, Li et al. 2018, has reported on the clinical effect of residual tumour burden following RT in relation to the type of EGFR mutation (26). In a small retrospective cohort of 48 patients, they showed that cancers with mutations in EGFR exon 18, 20, and 21 were associated with different responses in RT and the amount of residual tumour burden when compared with WT-EGFR cancers. This was also correlated with differences in overall survival; specifically, those with exon 21 (L858R-EGFR mutation) mutations had worse response than the other studied mutations or WT-EGFR cancers (26).
The pathologic mechanisms behind local failure in ES-LC following SABR remain unknown. Data for this population is limited, as patients treated with SABR are usually not candidates for surgery. Nonetheless, there are several studies that have investigated pathologic response following SABR; Palma et al. have assessed the pathologic complete response (pCR) in ES-NSCLC patients receiving neo-adjuvant SABR followed by surgery (27). They report a pCR of 60%, which was lower than their estimated rate of 90% pCR after SABR (27). Other investigators have also reported the histology of surgically resected tumors initially treated with SABR (21,22). Most recently, Kidane et al. report on neoadjuvant SABR followed by surgery in the context of the COVID-19 pandemic reported 50% of patients having a pCR and 73% with a major pathologic response (28). A limitation of these studies is that many patients opted out of receiving surgery post-SABR once they had good radiologic evidence of tumour response, and thus response rates may differ from those reported. Additionally, many of the patients in these studies did not have biopsies prior to initial treatment, and thus, screening for potential mutations, including EGFR, could not be performed.
Conclusions
Our work provides preliminary evidence of a differential response to SABR in EGFR-driven LC with different EGFR mutation statuses and suggests that the presence of necrosis may be a poor predictor of response to SABR. Additionally, our in vitro findings suggest a potential association between EGFR-L858R mutations and worse local control.
This study highlights the importance of assessing EGFR mutation status when considering SABR for ES-NSCLC patients. Further research is needed to validate these findings in humans and potentially explore alternative dosing and fractionation schedules among patients with different EGFR mutations treated with SABR to better inform clinical decision-making.
Acknowledgments
We would like to acknowledge Dr. Chaitanya Nirodi from the Department of Oncologic Sciences, University of South Alabama Mitchell Cancer Institute, Mobile, Alabama, for providing us with isogenic EGFR constructs. We also would like to acknowledge the Histopathology and Immunophenotyping platforms at the Research Institute-McGill University Health Centre (RI-MUHC).
Footnote
Reporting Checklist: The authors have completed the ARRIVE reporting checklist. Available at https://tlcr.amegroups.com/article/view/10.21037/tlcr-2024-1034/rc
Data Sharing Statement: Available at https://tlcr.amegroups.com/article/view/10.21037/tlcr-2024-1034/dss
Peer Review File: Available at https://tlcr.amegroups.com/article/view/10.21037/tlcr-2024-1034/prf
Funding: This work was supported by a grant from
Conflicts of Interest: All authors have completed the ICMJE uniform disclosure form (available at https://tlcr.amegroups.com/article/view/10.21037/tlcr-2024-1034/coif). The authors have no conflicts of interest to declare.
Ethical Statement: The authors are accountable for all aspects of the work in ensuring that questions related to the accuracy or integrity of any part of the work are appropriately investigated and resolved. Experiments were performed under a project license (No. 2015-7655) granted by the McGill University Animal Care Committee and all animal protocols and procedures were carried out with approval as per institutional standards of the McGill University Animal Care Committee.
Open Access Statement: This is an Open Access article distributed in accordance with the Creative Commons Attribution-NonCommercial-NoDerivs 4.0 International License (CC BY-NC-ND 4.0), which permits the non-commercial replication and distribution of the article with the strict proviso that no changes or edits are made and the original work is properly cited (including links to both the formal publication through the relevant DOI and the license). See: https://creativecommons.org/licenses/by-nc-nd/4.0/.
References
- Siegel RL, Miller KD, Jemal A. Cancer Statistics, 2017. CA Cancer J Clin 2017;67:7-30. [Crossref] [PubMed]
- Nicholson AG, Tsao MS, Beasley MB, et al. The 2021 WHO Classification of Lung Tumors: Impact of Advances Since 2015. J Thorac Oncol 2022;17:362-87. [Crossref] [PubMed]
- Liu Q, Medina HN, Rodriguez E, et al. Trends and Disparities in Curative-Intent Treatment for Early-Stage Non-Small Cell Lung Cancer: A Population-Based Analysis of Surgery and SBRT. Cancer Epidemiol Biomarkers Prev 2024;33:489-99. [Crossref] [PubMed]
- Videtic GMM, Donington J, Giuliani M, et al. Stereotactic body radiation therapy for early-stage non-small cell lung cancer: Executive Summary of an ASTRO Evidence-Based Guideline. Pract Radiat Oncol 2017;7:295-301. [Crossref] [PubMed]
- Chang JY, Senan S, Paul MA, et al. Stereotactic ablative radiotherapy versus lobectomy for operable stage I non-small-cell lung cancer: a pooled analysis of two randomised trials. Lancet Oncol 2015;16:630-7. [Crossref] [PubMed]
- Miller CJ, Martin B, Stang K, et al. Predictors of Distant Failure After Stereotactic Body Radiation Therapy for Stages I to IIA Non-Small-Cell Lung Cancer. Clin Lung Cancer 2019;20:37-42. [Crossref] [PubMed]
- Clarke K, Taremi M, Dahele M, et al. Stereotactic body radiotherapy (SBRT) for non-small cell lung cancer (NSCLC): is FDG-PET a predictor of outcome? Radiother Oncol 2012;104:62-6. [Crossref] [PubMed]
- Woody NM, Stephans KL, Andrews M, et al. A Histologic Basis for the Efficacy of SBRT to the lung. J Thorac Oncol 2017;12:510-9. [Crossref] [PubMed]
- Mok TS, Wu YL, Thongprasert S, et al. Gefitinib or carboplatin-paclitaxel in pulmonary adenocarcinoma. N Engl J Med 2009;361:947-57. [Crossref] [PubMed]
- Mitsudomi T, Morita S, Yatabe Y, et al. Gefitinib versus cisplatin plus docetaxel in patients with non-small-cell lung cancer harbouring mutations of the epidermal growth factor receptor (WJTOG3405): an open label, randomised phase 3 trial. Lancet Oncol 2010;11:121-8. [Crossref] [PubMed]
- Peng D, Liang P, Zhong C, et al. Effect of EGFR amplification on the prognosis of EGFR-mutated advanced non-small-cell lung cancer patients: a prospective observational study. BMC Cancer 2022;22:1323. [Crossref] [PubMed]
- Zhou F, Guo H, Xia Y, et al. The changing treatment landscape of EGFR-mutant non-small-cell lung cancer. Nat Rev Clin Oncol 2025;22:95-116. [Crossref] [PubMed]
- Pao W, Miller V, Zakowski M, et al. EGF receptor gene mutations are common in lung cancers from "never smokers" and are associated with sensitivity of tumors to gefitinib and erlotinib. Proc Natl Acad Sci U S A 2004;101:13306-11. [Crossref] [PubMed]
- Rosell R, Carcereny E, Gervais R, et al. Erlotinib versus standard chemotherapy as first-line treatment for European patients with advanced EGFR mutation-positive non-small-cell lung cancer (EURTAC): a multicentre, open-label, randomised phase 3 trial. Lancet Oncol 2012;13:239-46. [Crossref] [PubMed]
- Oweida A, Sabri S, Al-Rabea A, et al. Response to stereotactic ablative radiotherapy in a novel orthotopic model of non-small cell lung cancer. Oncotarget 2018;9:1630-40. [Crossref] [PubMed]
- Das AK, Chen BP, Story MD, et al. Somatic mutations in the tyrosine kinase domain of epidermal growth factor receptor (EGFR) abrogate EGFR-mediated radioprotection in non-small cell lung carcinoma. Cancer Res 2007;67:5267-74. [Crossref] [PubMed]
- Oweida A, Sharifi Z, Halabi H, et al. Differential response to ablative ionizing radiation in genetically distinct non-small cell lung cancer cells. Cancer Biol Ther 2016;17:390-9. [Crossref] [PubMed]
- Zhang Z, Wodzak M, Belzile O, et al. Effective Rat Lung Tumor Model for Stereotactic Body Radiation Therapy. Radiat Res 2016;185:616-22. [Crossref] [PubMed]
- van Hoof SJ, Granton PV, Verhaegen F. Development and validation of a treatment planning system for small animal radiotherapy: SmART-Plan. Radiother Oncol 2013;109:361-6. [Crossref] [PubMed]
- Sugiura R, Satoh R, Takasaki T. ERK: A Double-Edged Sword in Cancer. ERK-Dependent Apoptosis as a Potential Therapeutic Strategy for Cancer. Cells 2021;10:2509. [Crossref] [PubMed]
- Allibhai Z, Cho BC, Taremi M, et al. Surgical salvage following stereotactic body radiotherapy for early-stage NSCLC. Eur Respir J 2012;39:1039-42. [Crossref] [PubMed]
- Neri S, Takahashi Y, Terashi T, et al. Surgical treatment of local recurrence after stereotactic body radiotherapy for primary and metastatic lung cancers. J Thorac Oncol 2010;5:2003-7. [Crossref] [PubMed]
- Comprehensive molecular profiling of lung adenocarcinoma. Nature 2014;511:543-50. [Crossref] [PubMed]
- Gao J, Aksoy BA, Dogrusoz U, et al. Integrative analysis of complex cancer genomics and clinical profiles using the cBioPortal. Sci Signal 2013;6:pl1. [Crossref] [PubMed]
- Cerami E, Gao J, Dogrusoz U, et al. The cBio cancer genomics portal: an open platform for exploring multidimensional cancer genomics data. Cancer Discov 2012;2:401-4. [Crossref] [PubMed]
- Li MH, Tsai JT, Ting LL, et al. Comparison of Thoracic Radiotherapy Efficacy Between Patients With and Without EGFR-mutated Lung Adenocarcinoma. In Vivo 2018;32:203-9. [PubMed]
- Palma DA, Nguyen TK, Louie AV, et al. Measuring the Integration of Stereotactic Ablative Radiotherapy Plus Surgery for Early-Stage Non-Small Cell Lung Cancer: A Phase 2 Clinical Trial. JAMA Oncol 2019;5:681-8. [Crossref] [PubMed]
- Kidane B, Gerard IJ, Spicer J, et al. Stereotactic ablative radiotherapy before resection to avoid delay for early-stage lung cancer or oligometastases during the COVID-19 pandemic: Pathologic outcomes from the SABR-BRIDGE protocol. Cancer 2023;129:2798-807. [Crossref] [PubMed]

