Safety and efficacy of transbronchial radiofrequency ablation for stage IA peripheral lung cancer: a retrospective cohort study
Highlight box
Key findings
• Transbronchial radiofrequency ablation (RFA) represents a safe and effective alternative therapeutic approach for early-stage peripheral lung cancer.
What is known and what is new?
• Thermal ablation is a treatment option for early-stage lung cancer. While percutaneous ablation is more established, it carries a higher risk of complications. In contrast, transbronchial ablation presents a novel and safer alternative.
• Adverse events and intervention-acquired adverse events of transbronchial RFA were reported to be of 11.5% and 9.8%. The local control analysis demonstrated 1-, 2-, and 3-year local control progression-free survival (LPFS) rates of 87.5%, 73.4%, and 69.8%, respectively. Transbronchial RFA guided by cone-beam computed tomography (CBCT) achieved a significantly higher LPFS rates compared to X-ray guidance (1- and 3-year LPFS rates: 97.2% vs. 55.4% and 79.3% vs. 36.9%, respectively).
What is the implication, and what should change now?
• Transbronchial RFA is a safe and effective modality for treatment of early-stage peripheral lung cancer. When performed under CBCT guidance, it offers superior local tumor control compared to conventional X-ray guidance. This approach represents a promising and minimally invasive alternative to percutaneous techniques for selected patients with early-stage peripheral lung cancer.
Introduction
Lung cancer is one of the leading causes of morbidity and mortality worldwide (1). Surgical resection remains the most definitive treatment for malignant lung tumors, particularly in early-stage cases. However, some patients with surgically resectable lung cancer are contraindicated for surgery due to cardiopulmonary comorbidities, limiting their treatment options (2). Image-guided local tumor ablation, such as radiofrequency ablation (RFA) and microwave ablation (MWA), has emerged as a valuable non-surgical treatment alternative (3).
Percutaneous RFA is one of the most established thermal ablation techniques for treating lung cancer. Multiple studies have demonstrated that its efficacy in managing early-stage lung cancer may be comparable to that of surgery (4). Despite its effectiveness, procedure-related complications are common, including pneumothorax, hemoptysis, and hemopneumothorax, as well as more severe but rare issues such as bronchopleural fistula and tumor needle-tract seeding (5-7). Additionally, lesions located in the central lung, beneath the scapula, or in the apices can be challenging to treat with percutaneous ablation due to accessibility issues (8).
Bronchoscopic thermal ablation, a well-established technique historically used for relieving central airway obstruction, has evolved alongside advances in navigation technology. Transbronchial ablation, a more recent approach for treating peripheral lung cancer, offers a safer alternative and can access lesions that are difficult to reach percutaneously (9,10). Emerging clinical studies have evaluated the safety and efficacy of various transbronchial thermal ablation techniques, including RFA, MWA, and cryoablation (11-15). A study involving 20 patients undergoing transbronchial RFA was published in 2015, demonstrating the safety and feasibility (11). A multi-center prospective trial has specifically investigated the safety and the 1-year follow-up efficacy of transbronchial RFA (16). Furthermore, cone-beam computed tomography (CBCT) can obtain the location of the ablation catheter and target lesions in real time, and enabling dynamic adjustments of instrument alignment based on 3D visualization of the spatial relationship between the catheter and the target lesion. Therefore, the utilizing advanced imaging tools like CBCT, has enhanced lesion targeting and ablation effectiveness (14,17).
Transbronchial RFA for early-stage peripheral lung cancer holds great therapeutic potential, but more long-term clinical evidence is still needed. This study aims to investigate the safety and efficacy of transbronchial RFA for early-stage peripheral lung cancer, with a particular emphasis on the enhancement of treatment outcomes through CBCT guidance. We present this article in accordance with the STROBE reporting checklist (available at https://tlcr.amegroups.com/article/view/10.21037/tlcr-2025-486/rc).
Methods
Patients
This study was conducted in accordance with the Declaration of Helsinki and its subsequent amendments. This retrospective cohort study included patients with early-stage peripheral lung cancer who underwent transbronchial RFA from August 2020 to December 2023. All participants signed written informed consent about the procedure and clinical trial (NCT02972177). This study was approved by the Institutional Review Board of Shanghai Chest Hospital (No. KS1737). The 1-year follow-up data of 36 lesions were previously included in a multicenter clinical study (16). Patients were stratified following the eighth edition of the Tumor Node Metastasis (TNM) staging classification (18). The inclusion criteria were (I) patients aged ≥18 years; (II) peripheral lung cancer with clinical stage IA, including multiple primary lung cancer (with synchronous lesions or a lung cancer history); (III) patients who signed informed consent for ablation treatment after being assessed as unsuitable for surgery or refusing to undergo surgery. The exclusion criteria were (I) bronchoscopy revealing a bronchial lumen occlusion or deformation causing the guided and treatment equipment to not reach the peripheral lung lesion; (II) patients with advanced lung cancer or lung metastasis; (III) patients who lost to follow-up after ablation. Since the nature of this study is a retrospective cohort study, the sample size was not estimated.
Procedure
Thin-slice contrast-enhanced chest computed tomography (CT) and/or positron emission tomography (PET)-CT were performed before transbronchial RFA to plan the ablation. All procedures were conducted using a flexible bronchoscope (BF-1TQ290 or BF-P290; Olympus, Tokyo, Japan) via an endotracheal tube under general anesthesia. Electromagnetic navigation bronchoscopy (ENB) (LungCare navigation system, LungCare Medical Technologies, Suzhou, China; or superDimension navigation system, software version 7.0, Medtronic, Minneapolis, USA) or virtual bronchoscopy navigation (VBN) (DirectPath, Olympus, Tokyo, Japan; or LungPro, Hangzhou Broncus Medical Co., Ltd., Hangzhou, China) was performed for navigational assistance.
Radial probe endobronchial ultrasound (R-EBUS) (UM-S20-17S; Olympus, Tokyo, Japan), with or without guide sheath (GS), was advanced into both distal and proximal aspects of the target lesion to delineate its extent under navigation bronchoscopy guidance. The fluoroscopy of the EBUS probe was kept as a reference location map. Subsequently, an RFA catheter was inserted under fluoroscopy or CBCT (Cios Spin/Artis Q ceiling, Siemens, Forchheim, German; or Discovery IGS730, GE, Boston, USA) to the lesion’s location. CBCT was also applied to assess the extent of the ablation.
All patients were treated pulmonary radiofrequency ablation system BRS-PA-50W (BroncAblate; Hangzhou Broncus Medical Co., Ltd., Hangzhou, China) (Figure S1). An RFA catheter (Disposable pulmonary radiofrequency ablation catheter RF-A-27; Hangzhou Broncus Medical Co., Ltd., Hangzhou, China) was introduced into the tumor through the peripheral catheter using previous fluoroscopic images of the R-EBUS probe, as well as CBCT or fluoroscopy guidance.
A power of 20 W administered for 10 min was recommended for each ablation cycle, and this procedure was consistent with previous animal studies (19). In clinical practice, doctors can adjust the power and duration of ablation based on the location and size of the lesion. The RFA catheter was initially positioned in the distal portion of the tumor to perform the first ablation cycle, then gradually withdrawn to the proximal segment for additional ablations, as dictated by the tumor’s size and morphology. Multiple ablations were performed as needed through different paths to obtain better tumor coverage.
Following the procedure, fluoroscopy or CBCT imaging was immediately performed to assess for pneumothorax and other post-treatment changes, consistent with our institutional practice. All procedures were carried out by two experienced interventional pulmonologists (J.S. and J.C.).
Follow up
A CT scan was performed 24 h after ablation to observe any complications. Patients underwent contrast-enhanced chest CT scans 1 month after the ablation, every 3 months for the first year, every 6 months for the second year, and annually thereafter. If the outcome was deemed not satisfactory, a second RFA procedure was performed three months after the initial treatment. Follow-up was conducted following the previously described protocol.
Safety evaluation
The incidence of adverse events and serious adverse events were recorded within 30 days of the procedure. All adverse events were reported under the Common Terminology Criteria for Adverse Events (CTCAE) Version 5.0 (20), and adverse events with CTCAE of ≥2 were defined as serious adverse events. Further, RFA procedure-related adverse events and their incidence, such as pneumothorax and pleural effusion, were evaluated.
Efficacy evaluation
The efficacy study endpoints include the local control progression-free survival (LPFS) rate for stage IA lung cancer, and the progression-free survival (PFS) was assessed. A contrast-enhanced CT examination performed 1 month after ablation was considered the new baseline for evaluating disease progression. The treatment response of ablated lesions was categorized as complete ablation, incomplete ablation, and local progression. Complete ablation was defined as stability or decrease in size without any abnormal enhancement. Local progression was defined by one or more of the following: (I) enlargement by 10 mm, with irregular growth or internal enhancement signs on the CT and/or enlarged intense fluorodeoxyglucose (FDG) uptake on the PET/CT; (II) local newly developed lesion, with newly enhancement signs on the CT and/or newly developed intense FDG uptake on the PET/CT; or (III) biopsy showing the presence of tumor cells (21). Incomplete ablation indicates a state between complete ablation and local progression. Local control consists of complete and incomplete ablations.
LPFS was defined as the time from treatment initiation to local control. PFS was defined as the interval from the date of ablation to the first evidence of disease progression (either target lesion progression, the appearance of new lesions), or death.
Statistical analysis
Patient and nodule characteristics were summarized with descriptive statistics. Frequency, percentage, mean ± standard deviation, and median (range) were presented as appropriate. The Kaplan-Meier log-rank test was conducted for survival curve comparisons. Univariable and multivariable Cox proportional hazard models were conducted to screen prognostic factors and corresponding hazard ratios (HRs) for different factors with 95% confidence intervals (CIs). P values were two-sided and considered significant if <0.05. SPSS version 24.0 (IBM) was used for statistical analyses. The “survival” and “survminer” packages of R software (version 4.2.0, US) were utilized for survival analysis.
Results
Patient and tumor characteristics
After excluding 3 cases where the ablation catheter could not be adequately positioned and 6 patients lost to follow-up, a total of 46 patients (51 lesions) underwent 55 transbronchial RFA procedures were included in the safety and efficacy assessments from August 2020 to December 2023. The mean age of patients with stage IA lung cancer was 67.7 years (range, 23–82 years), and the mean lesion size was 16.4 mm (range, 9.2–27.9 mm). Additionally, 21 (41.2%) lesions were solid nodules, 11 (21.6%) were mixed ground-glass nodules (mGGNs) and 19 (37.3%) were pure ground-glass nodules (pGGNs). Four tumors underwent additional ablations within three months. Three patients underwent ablation for multiple primary lung cancers at different sites (1 patient had 3 ablated tumors and 2 patients had 2 ablated tumors each). Adenocarcinoma presented as the most prevalent histologic subtype (N=34, 66.7%), followed by squamous cell carcinomas (N=7, 13.7%). CBCT guidance was used in 38 (74.5%) lesions and X-ray in 13 (25.5%) lesions. A total of 34 (66.7%) lesions used VBN and 17 (33.3%) lesions utilized ENB. Table 1 shows additional information regarding patients with early-stage lung cancer.
Table 1
| Characteristic | Value |
|---|---|
| Patients characteristics | |
| Sex | |
| Male | 29 (63.0) |
| Female | 17 (37.0) |
| Age (years) | 67.7±12.8 [23–82] |
| History of lung surgery | |
| Yes | 18 (39.1) |
| No | 28 (60.9) |
| Tumor stage | |
| IA1 | 2 (4.3) |
| IA2 | 36 (78.3) |
| IA3 | 8 (17.4) |
| Reason for ablation | |
| Previous surgical resection of lung tissue | 18 (39.1) |
| History of non-pulmonary cancers | 19 (41.3) |
| COPD stage 2 or above | 8 (17.4) |
| Age >80 years | 5 (10.9) |
| Refusal of surgery | 10 (21.7) |
| Lung nodules characteristics | |
| Pathology | |
| Adenocarcinoma | 34 (66.7) |
| Squamous cell carcinoma | 7 (13.7) |
| NSCLC-NOS | 10 (19.6) |
| Lesion properties | |
| Solid nodules | 21 (41.2) |
| mGGN | 11 (21.6) |
| pGGN | 19 (37.3) |
| Lesion location | |
| Right upper lobe | 16 (31.4) |
| Right middle lobe | 4 (7.8) |
| Right lower lobe | 10 (19.6) |
| Left upper lobe | 16 (31.4) |
| Left lower lobe | 5 (9.8) |
| Tumor size (mm) | 16.4±4.5 [9.2–27.9] |
| Lesion-to-pleura distance (mm) | 21.9±13.3 [0–53.5] |
| Navigation methods | |
| VBN | 34 (66.7) |
| ENB | 17 (33.3) |
| Image guidance | |
| CBCT | 38 (74.5) |
| X-ray | 13 (25.5) |
| EBUS-GS | |
| Yes | 15 (29.4) |
| No | 36 (70.6) |
| Ablation time (min) | 24.7±13.4 [4–60] |
Data are presented as n (%) or mean ± standard deviation [range]. CBCT, cone-beam computed tomography; COPD, chronic obstructive pulmonary disease; EBUS-GS, endobronchial ultrasound-guided sheath; ENB, electromagnetic navigation bronchoscopy; mGGN, mixed ground-glass nodule; NSCLC-NOS, non-small cell lung cancer-not otherwise specified; pGGN, pure ground-glass nodule; VBN, virtual bronchoscopy navigation.
Safety
No perioperative mortality was recorded during ablation procedures or within 30 days after transbronchial RFA. The most frequent adverse events were pleural effusion (N=4, 6.6%), pleural pain (N=3, 4.9%), and pneumothorax (N=3, 4.9%) (Table 2). Four patients required extended hospitalization or readmission for pneumothorax or hemoptysis and recovered after treatment. Three of these patients underwent chest tube placement for pneumothorax or pleural effusion. Two patients with history of cerebral infarction developed symptoms after ablation but returned to baseline after supportive care. The incidence of adverse events for each procedure was 11.5%, and the incidence of adverse events requiring intervention (serious adverse events, CTCAE ≥2) was 9.8%.
Table 2
| Adverse events | Per-procedure |
|---|---|
| Pneumothorax | |
| Grade 2 | 3 (4.9) |
| Pleural pain | 3 (4.9) |
| Grade 1 | 1 (1.6) |
| Grade 2 | 2 (3.3) |
| Hemoptysis | 2 (3.3) |
| Grade 1 | 1 (1.6) |
| Grade 2 | 1 (1.6) |
| Pleural effusion | 4 (6.6) |
| Grade 1 | 1 (1.6) |
| Grade 2 | 3 (4.9) |
| Fever | |
| Grade 1 | 1 (1.6) |
| Pulmonary infection | |
| Grade 2 | 1 (1.6) |
| Cerebral infarction | |
| Grade 2 | 2 (3.3) |
| Number of ablation procedures with adverse events | 7 (11.5) |
| Minor adverse events | 1 (1.6) |
| Serious adverse events (CTCAE ≥ II) | 6 (9.8) |
Data are presented as n (%). CTCAE, Common Terminology Criteria for Adverse Events; RFA, radiofrequency ablation.
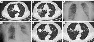
Pleural pain and pneumothorax were the most comment treatment-related complications that frequently occurred together. The patient in Figure 1 developed right-sided pleuritic pain. A chest X-ray at 3 days revealed a right-sided pneumothorax. The condition was managed conservatively with supplemental oxygen and antibiotics. The patient’s hospitalization was prolonged due to pneumothorax exacerbation, requiring thoracic closed drainage. A CT at 4 days revealed the disappearance of the right pneumothorax. Subsequent CT at 1 and 12 months revealed that the pulmonary solid shadow gradually became smaller. Additional representative cases (Figure S2) showed delayed pleural effusion and cavitation, both recovered after symptomatic treatment.
Efficacy
A representative case of CBCT-guided transbronchial RFA is shown in Figure 2. CBCT enabled precise RFA catheter placement, real-time safety assessment, and visualization of ablation zone. The lesion, initially appearing as ground-glass opacity, evolved into fibrotic scar with gradual size reduction; cavitation and fibrosis were occasionally observed.
The median follow-up was 24 months (range, 3–44 months). The median LPFS was 41.0 months, and 1-, 2-, and 3-year LPFS rates were 87.5%, 73.4%, and 69.8%, respectively (Figure 3A). The median PFS was 37.0 months, and 1-, 2-, and 3-year PFS rates were 79.0%, 59.6%, and 52.1%, respectively (Figure S3A). The analysis of prognostic factors revealed that CBCT-guided transbronchial RFA exhibited better outcomes compared to X-ray guidance, significantly affecting LPFS (1- and 3-year LPFS rates: 97.2% vs. 55.4%, 79.3% vs. 36.9%, P<0.001) and PFS (1- and 3-year PFS rates: 86.2% vs. 55.4%, 67.9% vs. 11.1%, P<0.001) (Figure 3B, Figure S3B).
Univariable Cox regression identified image guidance modality and tumor pathology as significant predictors of LPFS. On multivariable analysis, CBCT guidance remained significantly associated with prolonged LPFS (HR: 0.168, 95% CI: 0.050–0.559). For PFS, univariable analyses identified pathology, image guidance, and lesion properties (solid nodules or GGN) as significant, but these variables lost significance in multivariable analysis (Table 3). When LPFS and PFS were stratified by pathology (Figures S3C,S3D,S4), squamous cell carcinoma demonstrated poor outcomes, even under CBCT guidance, while ground-glass nodules with adenocarcinoma pathology had better therapeutic results.
Table 3
| Variables | N or mean ± SD |
LPFS | PFS | |||||||
|---|---|---|---|---|---|---|---|---|---|---|
| Univariable analysis | Multivariable analysis | Univariable analysis | Multivariable analysis | |||||||
| P | P | HR (95% CI) | P | P | HR (95% CI) | |||||
| Sex | 0.59 | 0.23 | ||||||||
| Male | 33 | |||||||||
| Female | 18 | |||||||||
| Age (years) | 67.7±12.8 | |||||||||
| >65 | 35 | 0.43 | 0.06 | |||||||
| ≤65 | 16 | |||||||||
| Tumor size (mm) | 16.4±4.5 | 0.38 | 0.62 | |||||||
| >20 | 7 | 0.62 | 0.33 | |||||||
| ≤20 | 44 | |||||||||
| Lesion-to-pleura distance (mm) | 21.9±13.3 | 0.87 | 0.48 | |||||||
| Ablation time (min) | 24.7±13.4 | 0.55 | 0.25 | |||||||
| Pathology | 0.03 | 0.10 | <0.001 | 0.22 | ||||||
| Adenocarcinoma | 34 | 0.20 | 0.07 | 7.178 (0.841–61.286) | 0.50 | 0.59 | 1.439 (0.381–5.433) | |||
| Squamous cell carcinoma | 7 | 0.02 | 0.03 | 12.222 (1.248–119.694) | 0.002 | 0.10 | 3.361 (0.784–14.412) | |||
| Others | 10 | 1 | 1 | |||||||
| Lesion properties | 0.19 | <0.001 | 0.12 | 2.463 (0.783–7.753) | ||||||
| Solid nodule | 21 | |||||||||
| GGN | 30 | 1 | ||||||||
| Navigation methods | 0.33 | 0.96 | ||||||||
| VBN | 34 | |||||||||
| ENB | 17 | |||||||||
| Image guidance | 0.003 | 0.004 | 0.168 (0.050–0.559) | <0.001 | 0.30 | 0.530 (0.158–1.781) | ||||
| CBCT | 38 | |||||||||
| X-ray | 13 | 1 | 1 | |||||||
| EBUS-GS | 0.13 | 0.93 | ||||||||
| Yes | 15 | |||||||||
| No | 36 | |||||||||
CBCT, cone-beam computed tomography; CI, confidence interval; EBUS-GS, endobronchial ultrasound-guided sheath; ENB, electromagnetic navigation bronchoscopy; GGN, ground-glass nodule; HR, hazard ratio; LPFS, local control progression-free survival; PFS, progression-free survival; SD, standard deviation; VBN, virtual bronchoscopy navigation.
Discussion
This study evaluated the safety and efficacy of transbronchial RFA for the treatment of stage IA peripheral lung cancer and showed that CBCT-guidance potentially can significantly enhance procedure outcomes.
With the increasing incidence of patients with multiple primary lung cancers in recent years, alternatives to surgery remain crucial, particularly for patients who are medically inoperable (22). Among non-surgical modalities, stereotactic body radiotherapy (SBRT) and thermal ablation have gained traction, with several studies reporting comparable efficacy to that of surgery (23,24). Thermal ablation, especially transbronchially administered, also offers the advantage of fewer adverse events and the feasibility of repeat treatments (24,25).
Percutaneous RFA has shown promising efficacy in early-stage lung cancer, with one study reporting 1-, 3-, and 5-year PFS of 79.8%, 60.4%, and 15.4% and LPFS of 79.8%, 64.7%, and 18.9%, respectively (26). However, recurrence and local progression remain concerns, with rates of 35% and 26% reported in a meta-analysis (27).
Transbronchial RFA presents several advantages over percutaneous RFA, including access to central and difficult-to-reach tumors, the ability to combine with diagnostic biopsy, and suitability for repeat or multisite treatment (8,10). Although early clinical studies were limited, data have begun to emerge. Koizumi et al. reported RFA of 23 lesions (median lesion size: 24 mm, range, 12–45 mm) in 20 patients, achieving local tumor control and 12-month PFS in 83% of cases (11). Our institution previously reported use of flexible RFA probe with “flower-like” contacts to increase the treatment volume, reporting a 12-month PFS in two of three patients (13). Ablation-before-resection studies have further confirmed localized tissue destruction and ablation margin control (28,29).
Compared to previous work, the present study demonstrated favorable 1- and 3-year PFS and LPFS, with results potentially exceeding those of percutaneous RFA in selected trials (11,23,26). CBCT guidance likely contributed to these improved outcomes, offering enhanced localization, safety monitoring, and biopsy yield (30-32). Notably, a recent study of 30 cases treated by CBCT combined with ENB transbronchial MWA reported no progression at 1 year (14). With continued refinement of navigational bronchoscopy techniques, particularly the emergence of robotic-assisted bronchoscopy and real-time imaging integration with CBCT, there is considerable promise for further improving the outcomes of transbronchial ablation (33,34).
Adverse events were infrequent and generally mild. Our complication rates for pneumothorax (4.9%) and pleural effusion (6.6%) were significantly lower than those reported in large studies of percutaneous RFA (pneumothorax: 28–34%; pleural effusion: 19%) (35-38). Complication profiles were also comparable to those seen in transbronchial MWA studies (14). The low complication rates, even among patients with significant comorbidities, underscore the favorable safety profile of transbronchial RFA.
Nevertheless, this study has limitations. First, as a single-center retrospective cohort study, generalizability is limited. Second, the non-randomized nature design may introduce selection bias regarding different guidance modalities (CBCT vs. X-ray). Third, adverse event may be underreported compared to prospective studies. Finally, overall survival was not assessed due to a follow-up duration of less than 5 years. Operator experience and learning curve requirements may limit broader adoption. Larger, prospective, multicenter trials are needed to validate these findings.
Conclusions
This study investigated the safety and efficacy of transbronchial RFA in treating stage IA peripheral lung cancer. The findings indicated that transbronchial RFA is a safe, feasible, and effective treatment approach, particularly when performed under CBCT guidance. This approach shows promise as a feasible alternative treatment for early-stage peripheral lung cancer. Further follow-up and well-designed comparative clinical studies are warranted to investigate its long-term efficacy and survival benefits.
Acknowledgments
Partial results of this study were previously presented as a poster at the 2024 ERS Congress.
Footnote
Reporting Checklist: The authors have completed the STROBE reporting checklist. Available at https://tlcr.amegroups.com/article/view/10.21037/tlcr-2025-486/rc
Data Sharing Statement: Available at https://tlcr.amegroups.com/article/view/10.21037/tlcr-2025-486/dss
Peer Review File: Available at https://tlcr.amegroups.com/article/view/10.21037/tlcr-2025-486/prf
Funding: This study was supported by
Conflicts of Interest: All authors have completed the ICMJE uniform disclosure form (available at https://tlcr.amegroups.com/article/view/10.21037/tlcr-2025-486/coif). The authors have no conflicts of interest to declare.
Ethical Statement: The authors are accountable for all aspects of the work in ensuring that questions related to the accuracy or integrity of any part of the work are appropriately investigated and resolved. This study was conducted in accordance with the Declaration of Helsinki and its subsequent amendments. All participants signed written informed consent about the procedure and clinical trial (NCT02972177). This study was approved by the Institutional Review Board of Shanghai Chest Hospital (No. KS1737).
Open Access Statement: This is an Open Access article distributed in accordance with the Creative Commons Attribution-NonCommercial-NoDerivs 4.0 International License (CC BY-NC-ND 4.0), which permits the non-commercial replication and distribution of the article with the strict proviso that no changes or edits are made and the original work is properly cited (including links to both the formal publication through the relevant DOI and the license). See: https://creativecommons.org/licenses/by-nc-nd/4.0/.
References
- Siegel RL, Giaquinto AN, Jemal A. Cancer statistics, 2024. CA Cancer J Clin 2024;74:12-49. [Crossref] [PubMed]
- Gould MK, Donington J, Lynch WR, et al. Evaluation of individuals with pulmonary nodules: when is it lung cancer? Diagnosis and management of lung cancer, 3rd ed: American College of Chest Physicians evidence-based clinical practice guidelines. Chest 2013;143:e93S-e120S.
- Jahangeer S, Forde P, Soden D, et al. Review of current thermal ablation treatment for lung cancer and the potential of electrochemotherapy as a means for treatment of lung tumours. Cancer Treat Rev 2013;39:862-71. [Crossref] [PubMed]
- Chan MV, Huo YR, Cao C, et al. Survival outcomes for surgical resection versus CT-guided percutaneous ablation for stage I non-small cell lung cancer (NSCLC): a systematic review and meta-analysis. Eur Radiol 2021;31:5421-33. [Crossref] [PubMed]
- Kashima M, Yamakado K, Takaki H, et al. Complications after 1000 lung radiofrequency ablation sessions in 420 patients: a single center's experiences. AJR Am J Roentgenol 2011;197:W576-W580. [Crossref] [PubMed]
- Alberti N, Buy X, Frulio N, et al. Rare complications after lung percutaneous radiofrequency ablation: Incidence, risk factors, prevention and management. Eur J Radiol 2016;85:1181-91. [Crossref] [PubMed]
- Hiraki T, Mimura H, Gobara H, et al. Two cases of needle-tract seeding after percutaneous radiofrequency ablation for lung cancer. J Vasc Interv Radiol 2009;20:415-8. [Crossref] [PubMed]
- Suzuki H, Sekine Y, Saito K, et al. Innovative technique of transbronchial radiofrequency ablation for intrapulmonary tumors: a preliminary study in a rabbit model. J Bronchology Interv Pulmonol 2011;18:211-7. [Crossref] [PubMed]
- Chaddha U, Hogarth DK, Murgu S. Bronchoscopic Ablative Therapies for Malignant Central Airway Obstruction and Peripheral Lung Tumors. Ann Am Thorac Soc 2019;16:1220-9. [Crossref] [PubMed]
- Steinfort DP, Herth FJF. Bronchoscopic treatments for early-stage peripheral lung cancer: Are we ready for prime time? Respirology 2020;25:944-52. [Crossref] [PubMed]
- Koizumi T, Tsushima K, Tanabe T, et al. Bronchoscopy-Guided Cooled Radiofrequency Ablation as a Novel Intervention Therapy for Peripheral Lung Cancer. Respiration 2015;90:47-55. [Crossref] [PubMed]
- Xie F, Zheng X, Xiao B, et al. Navigation Bronchoscopy-Guided Radiofrequency Ablation for Nonsurgical Peripheral Pulmonary Tumors. Respiration 2017;94:293-8. [Crossref] [PubMed]
- Xie F, Chen J, Jiang Y, et al. Microwave ablation via a flexible catheter for the treatment of nonsurgical peripheral lung cancer: A pilot study. Thorac Cancer 2022;13:1014-20. [Crossref] [PubMed]
- Chan JWY, Lau RWH, Ngai JCL, et al. Transbronchial microwave ablation of lung nodules with electromagnetic navigation bronchoscopy guidance-a novel technique and initial experience with 30 cases. Transl Lung Cancer Res 2021;10:1608-22. [Crossref] [PubMed]
- Gu C, Yuan H, Yang C, et al. Transbronchial cryoablation in peripheral lung parenchyma with a novel thin cryoprobe and initial clinical testing. Thorax 2024;79:633-43. [Crossref] [PubMed]
- Zhong C, Chen E, Su Z, et al. Safety and efficacy of a novel transbronchial radiofrequency ablation system for lung tumours: One year follow-up from the first multi-centre large-scale clinical trial (BRONC-RFII). Respirology 2025;30:51-61. [Crossref] [PubMed]
- Chan JWY, Lau RWH, Chu CM, et al. Expanding the scope of electromagnetic navigation bronchoscopy-guided transbronchial biopsy and ablation with mobile 3D C-arm Machine Cios Spin(®)-feasibility and challenges. Transl Lung Cancer Res 2021;10:4043-6. [Crossref] [PubMed]
- Detterbeck FC, Chansky K, Groome P, et al. The IASLC Lung Cancer Staging Project: Methodology and Validation Used in the Development of Proposals for Revision of the Stage Classification of NSCLC in the Forthcoming (Eighth) Edition of the TNM Classification of Lung Cancer. J Thorac Oncol 2016;11:1433-46. [Crossref] [PubMed]
- Zhong CH, Fan MY, Xu H, et al. Feasibility and Safety of Radiofrequency Ablation Guided by Bronchoscopic Transparenchymal Nodule Access in Canines. Respiration 2021;100:1097-104. [Crossref] [PubMed]
- National Cancer Institute. Common Terminology Criteria for Adverse Events (CTCAE) version 5.0. Available online: http://evs.nci.nih.gov/ftp1/CTCAE/CTCAE_5.0/, accessed 29 April 2024
- Ye X, Fan W, Wang Z, et al. Clinical practice guidelines on image-guided thermal ablation of primary and metastatic lung tumors (2022 edition). J Cancer Res Ther 2022;18:1213-30. [Crossref] [PubMed]
- Tie H, Luo J, Shi R, et al. Characteristics and prognosis of synchronous multiple primary lung cancer after surgical treatment: A systematic review and meta-analysis of current evidence. Cancer Med 2021;10:507-20. [Crossref] [PubMed]
- Iguchi T, Hiraki T, Matsui Y, et al. Survival Outcomes of Treatment with Radiofrequency Ablation, Stereotactic Body Radiotherapy, or Sublobar Resection for Patients with Clinical Stage I Non-Small-Cell Lung Cancer: A Single-Center Evaluation. J Vasc Interv Radiol 2020;31:1044-51. [Crossref] [PubMed]
- Gits HC, Khosravi Flanigan MA, Kapplinger JD, et al. Sublobar Resection, Stereotactic Body Radiation Therapy, and Percutaneous Ablation Provide Comparable Outcomes for Lung Metastasis-Directed Therapy. Chest 2024;165:1247-59. [Crossref] [PubMed]
- Sabath BF, Casal RF. Bronchoscopic ablation of peripheral lung tumors. J Thorac Dis 2019;11:2628-38. [Crossref] [PubMed]
- Picchi SG, Lassandro G, Bianco A, et al. RFA of primary and metastatic lung tumors: long-term results. Med Oncol 2020;37:35. [Crossref] [PubMed]
- Li G, Xue M, Chen W, et al. Efficacy and safety of radiofrequency ablation for lung cancers: A systematic review and meta-analysis. Eur J Radiol 2018;100:92-8. [Crossref] [PubMed]
- Steinfort DP, Antippa P, Rangamuwa K, et al. Safety and Feasibility of a Novel Externally Cooled Bronchoscopic Radiofrequency Ablation Catheter for Ablation of Peripheral Lung Tumours: A First-In-Human Dose Escalation Study. Respiration 2023;102:211-9. [Crossref] [PubMed]
- Ishiwata T, Motooka Y, Ujiie H, et al. Endobronchial ultrasound-guided bipolar radiofrequency ablation for lung cancer: A first-in-human clinical trial. J Thorac Cardiovasc Surg 2022;164:1188-1197.e2. [Crossref] [PubMed]
- Kawakita N, Takizawa H, Toba H, et al. Cone-beam computed tomography versus computed tomography-guided ultrathin bronchoscopic diagnosis for peripheral pulmonary lesions: A propensity score-matched analysis. Respirology 2021;26:477-84. [Crossref] [PubMed]
- DiBardino DM, Kim RY, Cao Y, et al. Diagnostic Yield of Cone-beam-Derived Augmented Fluoroscopy and Ultrathin Bronchoscopy Versus Conventional Navigational Bronchoscopy Techniques. J Bronchology Interv Pulmonol 2023;30:335-45. [Crossref] [PubMed]
- Benn BS, Romero AO, Bawaadam H, et al. Cone Beam CT Guidance Improves Transbronchial Lung Cryobiopsy Safety. Lung 2021;199:485-92. [Crossref] [PubMed]
- Chan JWY, Chang ATC, Siu ICH, et al. Electromagnetic navigation bronchoscopy transbronchial lung nodule ablation with Illumisite(TM) platform corrects CT-to-body divergence with tomosynthesis and improves ablation workflow: a case report. AME Case Rep 2023;7:13. [Crossref] [PubMed]
- De Leon H, Royalty K, Mingione L, et al. Device safety assessment of bronchoscopic microwave ablation of normal swine peripheral lung using robotic-assisted bronchoscopy. Int J Hyperthermia 2023;40:2187743. [Crossref] [PubMed]
- He JY, Yang L, Wang DD. Efficacy and Safety of Thermal Ablation for Patients With Stage I Non-small Cell Lung Cancer. Acad Radiol 2024;31:5269-79. [Crossref] [PubMed]
- Hasegawa T, Takaki H, Kodama H, et al. Three-year Survival Rate after Radiofrequency Ablation for Surgically Resectable Colorectal Lung Metastases: A Prospective Multicenter Study. Radiology 2020;294:686-95. [Crossref] [PubMed]
- Simon CJ, Dupuy DE, DiPetrillo TA, et al. Pulmonary radiofrequency ablation: long-term safety and efficacy in 153 patients. Radiology 2007;243:268-75. [Crossref] [PubMed]
- Hiraki T, Tajiri N, Mimura H, et al. Pneumothorax, pleural effusion, and chest tube placement after radiofrequency ablation of lung tumors: incidence and risk factors. Radiology 2006;241:275-83. [Crossref] [PubMed]

