Development and validation of a multivariable prognostic model incorporating black-blood magnetic resonance imaging-based meningeal lymphatic remodeling to predict therapy response in non-small cell lung cancer brain metastases
Original Article

Development and validation of a multivariable prognostic model incorporating black-blood magnetic resonance imaging-based meningeal lymphatic remodeling to predict therapy response in non-small cell lung cancer brain metastases

Wei Shao1#, Zongbo Li2#, Feng Qiu3, Hengsen Zhang1, Shudong Hu2, Yifan Liu1, Duoduo Li3, Yuxi Ge2, Hua Lu1

1Department of Neurosurgery, Affiliated Hospital of Jiangnan University, Wuxi, China; 2Department of Radiology, Affiliated Hospital of Jiangnan University, Wuxi, China; 3Wuxi School of Medicine, Jiangnan University, Wuxi, China

Contributions: (I) Conception and design: W Shao, F Qiu, Y Ge, H Lu; (II) Administrative support: S Hu, H Lu; (III) Provision of study materials or patients: S Hu, H Lu; (IV) Collection and assembly of data: W Shao, Z Li, Y Liu, D Li; (V) Data analysis and interpretation: W Shao, Z Li, H Zhang; (VI) Manuscript writing: All authors; (VII) Final approval of manuscript: All authors.

#These authors contributed equally to this work.

Correspondence to: Hua Lu, MD. Department of Neurosurgery, Affiliated Hospital of Jiangnan University, No. 1000 Hefeng Road, Wuxi 214000, China. Email: luhua1969@outlook.com; Yuxi Ge, MD. Department of Radiology, Affiliated Hospital of Jiangnan University, No. 1000 Hefeng Road, Wuxi 214000, China. Email: gmy1986@126.com.

Background: Brain metastases (BMs) from non-small cell lung cancer (NSCLC) remain a major clinical challenge, and existing prognostic tools such as the Graded Prognostic Assessment (GPA) do not incorporate imaging biomarkers or adequately reflect the impact of immunotherapy. Meningeal lymphatic vessels (mLVs), which regulate cerebrospinal fluid drainage and immune surveillance, have been implicated in tumor-immune interactions. We aimed to develop and internally validate a multivariable prognostic model integrating mLV remodeling measured by black-blood magnetic resonance imaging (BB-MRI) with clinical predictors to improve early prediction of treatment response.

Methods: We retrospectively analyzed 130 patients with pathologically confirmed NSCLC (100 with BM, 30 without BM). Among the BM cohort, 56 patients achieved favorable treatment response [stable disease (SD) or partial response (PR)] and 44 experienced progressive disease (PD). Candidate predictors were pre-specified based on clinical relevance, and the final model incorporated total mLV diameter, immunotherapy exposure, sex, and extracranial lesion count. Internal validation was performed with 1,000 bootstrap resamples. Model performance was assessed by discrimination, calibration, and decision curve analysis (DCA).

Results: The final multivariable model demonstrated good discrimination [area under the curve (AUC) =0.82; 95% confidence interval (CI): 0.75–0.90], excellent calibration, and consistent net clinical benefit across a range of threshold probabilities. The calibration and decision curves showed promising internal performance, but external validation is required before clinical application.

Conclusions: BB-MRI-derived mLV remodeling may be an early and noninvasive indicator of treatment efficacy in BM. The proposed nomogram enables the individualized prediction of systemic therapy response, supporting precision immunotherapy for patients with intracranial metastases.

Keywords: Meningeal lymphatic vessels (mLVs); brain metastases (BMs); black-blood magnetic resonance imaging (BB-MRI); immunotherapy


Submitted Oct 10, 2025. Accepted for publication Nov 07, 2025. Published online Nov 26, 2025.

doi: 10.21037/tlcr-2025-aw-1154


Highlight box

Key findings

• Black-blood magnetic resonance imaging (BB-MRI)-based quantification revealed that meningeal lymphatic vessels (mLVs) were significantly enlarged in patients with non-small cell cancer (NSCLC) brain metastases (BMs). Effective systemic therapy (achieving stable disease or partial response) led to mLV regression, whereas progressive disease was associated with further dilation. A multivariable nomogram incorporating mLV metrics and clinical variables achieved high predictive accuracy (area under the curve =0.82).

What is known and what is new?

• Previous studies have shown that mLVs participate in central nervous system immune drainage and may influence tumor-immune dynamics. BB-MRI enables the noninvasive visualization of mLV morphology, but longitudinal data and clinical integration are lacking.

• This study is the first to demonstrate the presence of dynamic mLV remodeling in response to systemic therapy and to integrate mLV parameters into a prognostic model for early treatment response prediction of mLV status and immunotherapy benefit.

What is the implication, and what should change now?

• BB-MRI-derived mLV metrics may serve as a novel imaging biomarker for guiding early therapeutic decisions in NSCLC BMs. Incorporating mLV assessment into neuro-oncology workflows holds potential value and warrants further investigation. Prospective validation is warranted to support clinical adoption.


Introduction

Brain metastases (BMs) are among the most common and severe complications of systemic malignancies, affecting approximately 20–40% of patients with cancer (1,2). The peak age for the development of intracranial metastatic tumors is between 40 and 60 years, with a higher incidence among males than females (3). The most common primary cancers for intracranial metastases are lung cancer, breast cancer, and melanoma, which are associated with poor survival outcomes and present significant clinical challenges (4,5). Secondary tumors within the central nervous system (CNS) significantly impair neurological function and quality of life, and treatment strategies remain largely palliative, highlighting an urgent need for improved prognostic assessment tools (6).

Several prognostic models, such as the Graded Prognostic Assessment (GPA) and its disease-specific variants (DS-GPA), have been widely applied in patients with non-small cell lung cancer (NSCLC) and BMs. These models incorporate clinical variables including age, performance status, extracranial disease, and molecular markers, and have provided useful survival stratification (7). However, they do not account for the impact of immunotherapy or integrate imaging biomarkers, which limits their applicability in the current treatment era. Therefore, there is a need for novel models that combine clinical and imaging features to improve individualized prediction of treatment response (8).

The discovery of functional meningeal lymphatic vessels (mLVs) has transformed the understanding of CNS fluid drainage and immune surveillance (2,9). These vessels drain cerebrospinal fluid, macromolecules, and immune cells into deep cervical lymph nodes (dcLNs), thereby maintaining CNS homeostasis. Accumulating evidence suggests that mLVs play a role in tumor-immunity interactions within the intracranial environment (10,11). Preclinical data indicate that enhancing mLV-mediated drainage can potentiate the efficacy of immunotherapies against BMs (11-13), and alterations in mLV morphology and function may reflect both disease burden and treatment response.

Neuroimaging advancements, particularly magnetic resonance imaging (MRI), have enabled the in vivo visualization of mLVs in both humans and animal models (14). Among these, the black-blood (BB) MRI sequence provides high-resolution suppression of intravascular signals while preserving perivascular and meningeal contrast (15,16), offering improved delineation compared to conventional T2-weighted fluid-attenuated inversion recovery (T2-FLAIR) (14). This technique allows for the quantitative assessment of mLV caliber and drainage capacity, which may serve as imaging biomarkers for neurological diseases and malignancies (17,18).

However, the longitudinal dynamics of mLVs in patients with BMs undergoing systemic therapy remain poorly characterized. The related studies have largely been cross-sectional and do not integrate mLV metrics into prognostic modeling frameworks (18,19). In addition, the potential synergistic effects between mLV functional status and immunotherapy, particularly in programmed death-ligand 1 (PD-L1)-high NSCLC, are not fully understood. Recent reviews have highlighted the role of the meningeal lymphatic system in brain tumors and its potential as a therapeutic target (10), while a mechanistic study has suggested that mLV remodeling can be leveraged for combined imaging-immunotherapy strategies (20).

Accordingly, this study aimed to quantify the morphological and functional changes in mLVs through use of contrast-enhanced BB-MRI in patients with BMs before and after therapy, examine their relationship with therapeutic response, and develop a multivariable prognostic model incorporating mLV parameters, clinical features, and treatment variables to enhance early prediction and guide precision management. We present this article in accordance with the TRIPOD reporting checklist (available at https://tlcr.amegroups.com/article/view/10.21037/tlcr-2025-aw-1154/rc).


Methods

Study participants

This retrospective prognostic model development and internal validation study was approved by the Ethics Committee of the Affiliated Hospital of Jiangnan University (No. LS2024589) and was conducted in accordance with the Declaration of Helsinki and its subsequent amendments. The requirement for informed consent was waived for this retrospective study since the data were anonymized. Eligible patients were identified from the institutional database as those with pathologically confirmed NSCLC who had undergone clinically indicated MRI between July 2021 and September 2024 (Figure 1). The other inclusion criteria were as follows: (I) MRI scan before treatment; (II) diagnosis of primary NSCLC via fine-needle aspiration biopsy or complete surgical resection with pathological confirmation; and (III) complete baseline characteristics and clinical data. Meanwhile, the exclusion criteria were as follows: (I) history of craniotomy; (II) poor general health; (III) other neurological disorders; (IV) loss of patient’s contact; and (V) poor image quality. Finally, 130 patients were included in this study (58 males and 72 females; mean age 58.3±9.1 years; age range, 37–75 years). This was a convenience sample of 100 patients. With 50 outcome events and four predictors in the final model, the events-per-variable (EPV) ratio was 14, exceeding the recommended minimum of 10. We reviewed the clinicopathological records and pretreatment MRI data of all patients.

Figure 1 The flowchart of participant recruitment. MRI, magnetic resonance imaging.

Imaging examination protocol

All MRI examinations were conducted with a 3.0-Tesla clinical scanner (Achieva Tx, Philips, Amsterdam, The Netherlands) equipped with a 32-channel neurovascular coil. The imaging protocol incorporated T1-weighted, T2-weighted, and T2-FLAIR sequences, with particular emphasis on contrast-enhanced BB imaging for vascular analysis. The BB sequence included a dual inversion-recovery preparation combined with flow-void gradients to suppress intravascular signals, achieving over 95% blood signal suppression. This technique enhances vessel wall delineation by selectively nullifying flowing blood signals while maintaining tissue contrast, which is crucial for perivascular space (PVS) characterization. Postcontrast acquisitions were initiated 5 minutes after intravenous administration of gadobutrol (0.1 mmol/kg) to optimize blood-brain barrier (BBB) leakage detection. These images were collected on the same MRI machine used during the experiment, reflecting the co-phase image data.

mLV acquisition

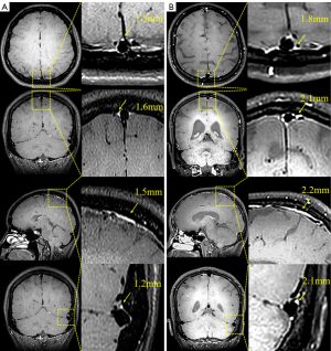
Both contrast agent-enhanced and nonenhanced BB images with the same layer thickness geometry (acquisition interval ≤30 s) were acquired, with mLVs being hyperintensive only in the enhanced BB sequences. Three blinded neuroradiologists (each with ≥6 years of experience) independently used workstation calipers (A site, 0.1 mm) to measure the largest mLV diameter within 3 cm of the superior sagittal sinus (SSS) in the most conspicuous slice identified on axial, coronal, and sagittal images; the procedure was repeated bilaterally for the transverse sinus (TS) (Figure 2). For each lesion, the thickest perisinus mLV within 10 mm of the tumor margin was similarly measured, which served as the regional mLV diameter (Figure S1). Each observer repeated the measurements after a 2-week interval to determine the intraclass correlation coefficient (ICC), with an ICC ≥0.90 indicating reproducibility. The primary outcome was favorable treatment response (FTR), defined as stable disease (SD) or partial response (PR) at 6 months after therapy initiation, assessed according to immune Response Evaluation Criteria in Solid Tumors (iRECIST). Progressive disease (PD) was considered an unfavorable outcome (Figure 3).

Figure 2 The process of mLV measurement in the BM and non-BM groups. (A) mLV measurements with the BB sequence in a patient without BMs. (B) mLV measurement with the BB sequence in a patient with BMs. The yellow arrows in the figure indicate the thickest points of the mLV. BB, black-blood; BM, brain metastasis; mLV, meningeal lymphatic vessel.
Figure 3 Typical example from each of the SD + PR group and the PD group. (A) Comparison of mLV diameter measurements before and after treatment in a patient with brain metastases in the PD group. (B) Comparison of mLV diameter measurements before and after treatment in a patient with brain metastases in the PR group. The yellow arrows in the figure indicate the thickest points of the mLV. mLV, meningeal lymphatic vessel; PD, progressive disease; PR, partial response; SD, stable disease.

Acquisition of quantitative MRI parameters

All T1-weighted images were preprocessed using FreeSurfer 7.1.1 (https://surfer.nmr.mgh.harvard.edu). The pipeline included motion correction, denoising, nonuniform intensity normalization, and skull stripping. Subsequently, the FMRIB Linear Image Registration Tool (FLIRT; FMRIB Software Library 6.0.3) was employed to align the FLAIR images to the preprocessed T1 space via trilinear interpolation and six degrees of freedom. This procedure generated a transformation matrix that mapped the FLAIR images onto the T1 reference frame. The preprocessed T1 images were further analyzed with FreeSurfer to obtain brain tissue segmentation, which served as an anatomical reference for the subsequent quantification of white-matter hyperintensities (WMHs) and PVSs. Regional masks derived from segmentation were then used to assess WMH and PVS volumes.

Treatment plan

All patients included in this study were diagnosed with advanced NSCLC and received first-line systemic therapy at Affiliated Hospital of Jiangnan University. Treatment regimens were standardized across the cohort and consisted of platinum-based doublet chemotherapy (pemetrexed plus carboplatin for nonsquamous histology or paclitaxel plus carboplatin for squamous histology) administered every 3 weeks for up to four cycles. For patients eligible for immune checkpoint inhibitors (ICIs), pembrolizumab was added to the chemotherapy backbone at a fixed dose of 200 mg every 3 weeks. Eligibility for immunotherapy was determined based on PD-L1 expression (≥1%) and clinical judgment, whereas patients with contraindications to ICIs or PD-L1-negative tumors received chemotherapy alone. All treatment decisions were made by a multidisciplinary tumor board, and response evaluation was performed after two to four cycles according to RECIST 1.1. The treatment protocol was consistent across both the immunotherapy and nonimmunotherapy groups, allowing for uniform modeling of treatment response.

Follow-up

MRI was performed to determine the posttreatment disease status, and patients were re-evaluated 6 months after the first assessment. The primary endpoint was FTR, and the secondary endpoint was PD. The patients’ medical records were used for the follow-up.

Statistical analysis

Statistical analyses were performed using SPSS 26.0 (IBM, Armonk, NY, USA) and R 4.4.1 (The R Foundation for Statistical Computing). Nomogram, calibration, and decision curve analysis (DCA) were generated with the “rms” package in R. Two-sided P<0.05 was considered significant. Continuous variables were summarized as the mean ± standard deviation (SD) and categorical variables as counts and percentages. Between-group comparisons (BM vs. non-BM) for continuous measures [e.g., mLV diameter and perivascular space volume fraction in white matter (PVSVF/WM)] were performed via independent-samples t-tests. Within-group pretreatment-posttreatment comparisons were performed separately in the SD + PR and PD subgroups via paired t-tests. Between-subgroup differences in change scores (Δ = pretreatment − posttreatment) were compared with independent-samples t-tests. Categorical variables were compared with the Pearson χ2 test. Bonferroni adjustment was applied within families of related tests (e.g., multiple planes/regions of mLV diameter).

Interrater reliability of mLV measurements was assessed by ICC using a two-way random-effects model; ICC ≥0.90 was considered excellent. Each reader repeated measurements after a 2-week interval to ensure the stability of assessments.

Candidate predictors were prespecified, and correlations were checked with Pearson/Spearman and variance inflation factor (VIF); if VIF >5 or correlation >0.7, the clinically more relevant variable was kept. Collinearity diagnostics showed no serious multicollinearity: all VIFs were <10 (max 2.83) and the condition index was 3.34. Thus, all 16 predictors were retained. Candidate predictors were prespecified based on clinical relevance and prior literature to avoid data-driven overfitting. The model building adhered to the EPV principle (≥10 outcome events per predictor in the final model). Continuous variables were assessed for linearity in the logit via fractional polynomials and retained on their original scale when assumptions were met. Categorical variables were coded as per clinically meaningful dichotomies. Missing data were handled by complete case analysis, as the proportion of missingness was <5% for all predictors.

For prognostic modeling of FTR (FTR and SD/PR vs. PD), analyses were restricted to patients with BMs who completed pre- and posttreatment MRI (n=100). Candidate predictors were screened via univariate logistic regression. Variables with P≤0.05 entered into a multivariable logistic regression with backward stepwise selection. The final model retained four predictors: total meningeal lymphatic vessel diameter (mLVtotal; defined as the sum of mLV diameters around the SSS and TS), immunotherapy exposure, sex, and the number of extracranial lesions. A nomogram was constructed through multivariate models.

Model discrimination was quantified according to the area under the curve (AUC; equivalent to the concordance index for binary outcomes) with 95% confidence intervals (CIs). Internal validation was performed with 1,000 bootstrap resamples, with model refitting at each iteration, to obtain optimism-corrected discrimination and calibration. Calibration was evaluated graphically with calibration curves, and the bias-corrected mean absolute error was determined. The final multivariable logistic regression model for predicting treatment response is presented in Table S1. DCA was used to estimate the net clinical benefit across a range of threshold probabilities, with the maximal net benefit observed around a 40% threshold. All model development and validation procedures were conducted in “rms” R package. All analyses were performed on the available cases.


Results

Baseline characteristics of patients

The clinical characteristics of 130 patients are summarized in Table 1. Semiquantitative measurements of mLV diameter were conducted in 130 patients, including 30 sex- and age-matched patients in the non-BM group and 100 sex- and age-matched patients in the BM group. All patients underwent repeated evaluations. The interrater reliability among the three radiologists was excellent, with an ICC of 0.949. Baseline characteristics of the 100 patients included in model development are summarized separately in Table S2.

Table 1

Baseline demographics and clinicopathological characteristics (n=130)

Variables Values
Age (years)
   Mean ± SD 58.3±9.1
   Range 38–77
Gender, n [%]
   Male 58 [45]
   Female 72 [55]
Hypertension, n [%] 43 [33]
Diabetes, n [%] 29 [22]
Primary tumor, n
   Non-small cell lung cancer 130
PD-L1, n [%]
   High 42 [32]
   Low 88 [68]
Smoke status, n [%]
   Never smoker 100 [77]
   Ever/current smoker 30 [23]
Treatment plan, n [%]
   Chemotherapy within 3 months 130 [100]
   Chemotherapy and immunotherapy within 3 months 46 [35]
   Head radiotherapy within 3 months 6 [5]

PD-L1, programmed death-ligand 1; SD, standard deviation.

Comparison between the BM and non-BM groups

After gadolinium injection, BB-MRI showed that the mLVs surrounding the SSS and TS were consistently thicker in the BM group than in the non-BM group across all planes (all P values <0.001; Table 2) (Figure 4).

Table 2

mLV diameter and quantitative MRI parameters of the non-BM and BM groups

Variables Non-BM (n=30) BM (n=100) P value
mLV-SSS diameter in transverse plane (mm) 1.21±0.35 1.73±0.37 <0.001***
mLV-SSS diameter in coronal plane (mm) 1.42±0.30 2.01±0.42 <0.001***
mLV-SSS diameter in sagittal plane (mm) 1.58±0.30 2.15±0.47 <0.001***
Sum of mLV-SSS diameters (mm) 4.21±0.73 5.90±1.05 <0.001***
mLV-TS diameter in coronal plane (mm) 1.31±0.31 1.86±0.38 <0.001***
PVSVF/WM 0.016±0.007 0.011±0.007 0.002**

Data are presented as mean ± standard deviation. The mLV diameter value is the average of the measurements taken by three clinicians. , calculated by t-test. **, P≤0.01; ***, P≤0.001. BM, brain metastasis; mLV, meningeal lymphatic vessel; mLV-SSS diameter, meningeal lymphatic vessel diameter around the superior sagittal sinus; mLV-TS, meningeal lymphatic vessel diameter around the transverse sinus; MRI, magnetic resonance imaging; PVSVF/WM, perivascular space volume fraction in white matter.

Figure 4 Comparison of mLV diameter and quantitative MRI parameters between the BM and non-BM groups. (A-D) mLV diameter around the superior sagittal sinus in the transverse (A), coronal (B), and sagittal (C) planes. mLV diameter around the transverse sinus in the coronal plane (D). The diameter of mLVs in the BM group was larger than that in the non-BM group. ***, P≤0.001. BM, brain metastasis; mLV, meningeal lymphatic vessel; mLV-SSS diameter, meningeal lymphatic vessel diameter around the superior sagittal sinus; mLV-TS, meningeal lymphatic vessel diameter around the transverse sinus; MRI, magnetic resonance imaging.

Comparison of response before and after treatment

The specific diameters of the mLVs and quantitative MRI values of the SD + PR group and PD groups are shown in Table 3. In the SD + PR group, the mLV diameters declined significantly after therapy around the SSS, TS, and tumor periphery [around the SSS in transverse plane (P=0.005), in coronal plane (P=0.003), in sagittal plane (P=0.001); around the TS (P=0.001); around the tumor (P=0.001)]. Conversely, in the PD cohort, the diameter increased [around the SSS in transverse plane (P=0.04), in coronal plane (P=0.01), in sagittal plane (P=0.03); around the TS (P=0.046); around the tumor (P=0.01)] (Figure 5). In the SD + PR subgroup, both the immunotherapy-chemotherapy combination and chemotherapy alone reduced peritumoral mLV diameter (P=0.002 and P=0.02, respectively; Figure 3). In the PD subgroup, only chemotherapy was associated with a posttreatment increase in the peritumoral mLV diameter, whereas the immunotherapy-chemotherapy combination was still associated with a reduction. (P=0.59 and P=0.02, respectively) (Figure 6).

Table 3

mLV diameter and quantitative MRI parameters of the SD + PR and PD groups

Variables SD + PR group (n=56) PD group (n=44) P value of Δ
Before treatment After treatment P value Δ Before treatment After treatment P value Δ
mLV-SSS diameter in transverse plane (mm) 1.83±0.40 1.62±0.33 0.005** −0.21 1.60±0.29 1.74±0.31 0.04* 0.14 <0.001***
mLV-SSS diameter in coronal plane (mm) 2.14±0.43 1.87±0.42 0.003** −0.27 1.85±0.36 2.06±0.38 0.01* 0.21 <0.001***
mLV-SSS diameter in sagittal plane (mm) 2.23±0.46 2.01±0.41 0.001** −0.22 2.01±0.45 2.24±0.53 0.03* 0.23 <0.001***
mLV-TS diameter in coronal plane (mm) 1.93±0.39 1.70±0.35 0.001** −0.23 1.77±0.36 1.92±0.36 0.046* 0.15 <0.001***
Around the tumor mLV diameter in coronal plane (mm) 1.77±0.46 1.36±0.51 0.001** −0.41 1.55±0.55 1.86±0.49 0.01* 0.31 <0.001***
PVSVF/WM 0.011±0.008 0.014±0.009 0.047* 0.003 0.012±0.006 0.009±0.005 0.03* −0.003 <0.001***

Data are presented as mean ± standard deviation. The mLV diameter value is the average of the measurements taken by three clinicians. , calculated by t-test. *, P≤0.05; **, P≤0.01; ***, P≤0.001. mLV, meningeal lymphatic vessel; mLV-SSS diameter, meningeal lymphatic vessel diameter around the superior sagittal sinus; mLV-TS, meningeal lymphatic vessel diameter around the transverse sinus; MRI, magnetic resonance imaging; PD, progressive disease; PR, partial response; PVSVF/WM, perivascular space volume fraction in white matter; SD, stable disease.

Figure 5 Comparison of mLV diameter and quantitative MRI parameters between the SD + PR and PD groups. SD + PR group: (A-D) mLV-SSS diameter quantification in the transverse (A), coronal (B), and (C) sagittal planes and mLV-TS diameter in the coronal plane (D). mLV diameter quantification around the tumor in the coronal plane (E). Significant diameter reduction posttreatment. (F) MRI parameter comparisons: PVSVF/WM demonstrated significant posttreatment increases. PD group: (G-J) mLV-SSS diameter quantification in the transverse (G), coronal (H), and sagittal (I) planes and mLV-TS diameter in the coronal plane (J). mLV diameter around the tumor in the coronal plane (K). Significant increase in diameter posttreatment. (L) PVSVF/WM demonstrated significant posttreatment decreases. *, P≤0.05; **, P≤0.01; ***, P≤0.001. mLV, meningeal lymphatic vessel; mLV-SSS diameter, meningeal lymphatic vessel diameter around the superior sagittal sinus; mLV-TS, meningeal lymphatic vessel diameter around the transverse sinus; MRI, magnetic resonance imaging; PD, progressive disease; PR, partial response; PVSVF/WM, perivascular space volume fraction in white matter; SD, stable disease.
Figure 6 Comparison of peritumoral mLV diameter among patients receiving different therapeutic regimens. (A-D) mLV diameter around the tumor in patients undergoing chemotherapy alone (A: SD + PR group; C: PD group) and chemotherapy combined with immunotherapy (B: SD + PR group; D: PD group). A significant reduction in diameter was observed posttreatment in the SD + PR group, while an increase was noted in the PD group. *, P≤0.05; **, P≤0.01. mLV, meningeal lymphatic vessel; PD, progressive disease; PR, partial response; SD, stable disease.

Comparison of quantitative MR features

We also included the participants’ MRI quantitative parameters, including PVSVF/WM, for the analysis. The data indicated that the patients in the BM group had lower PVS:WM ratios (0.011±0.007 vs. 0.016±0.007; P=0.02). In subsequent follow-up, an increase in PVS:WM ratio (0.011±0.008 vs. 0.014±0.009; P=0.047) was observed compared to that before treatment in the SD + PD group (Figure 2). Conversely, participants in the PD group had decreased PVS:WM ratios (0.012±0.006 vs. 0.009±0.005; P=0.03) (Figure 3).

Development of a clinical- and MRI-based nomogram for predicting FTR

The results of the univariate and multivariate logistic analyses of the predictive factors are presented in Table 4. According to the results for multivariate analysis of FTR, four variables were retained as significant independent prognostic factors: mLVtotal [odds ratio (OR) =2.13; 95% CI: 1.37–3.32; P<0.001], immunotherapy (OR =3.17; 95% CI: 1.08–9.30; P=0.04), sex (OR =0.23; 95% CI: 0.10–0.54; P=0.004), and number of extracranial lesions (OR =0.33; 95% CI: 0.11–0.78; P=0.004).

Table 4

The results of univariate and multivariate regression analyses for favorable treatment response

Characteristics Univariate Multivariate
OR (95% CI) P value OR (95% CI) P value
Clinical factor
   Age (per 1-year increase) 0.99 (0.95–1.03) 0.73
   Gender (female as ref.) 0.23 (0.10–0.54) <0.001 0.23 (0.10–0.54) 0.004
   Smoking status (never as ref.) 1.17 (0.67–4.29) 0.27
   Hypertension (never as ref.) 0.53 (0.15–0.53) 0.16
   Diabetes (never as ref.) 0.42 (0.17–1.06) 0.07
   Immunotherapy (never as ref.) 3.62 (1.47–8.91) 0.005 3.17 (1.08–9.30) 0.04
   Number of extracranial lesions 0.35 (0.18–0.68) 0.002 0.33 (0.16–0.70) 0.004
   BMI 1.01 (0.90–1.12) 0.82
MR factor
   mLVtotal 1.95 (1.33–2.86) <0.001 2.13 (1.37–3.32) <0.001
   PVSVF/WM 0.97
   PVS 1.00 (0.99–1.01) 0.68
   JVWMH 1.11 (0.98–1.25) 0.09
   PVWMH 1.03 (0.99–1.07) 0.11
   DWMH 1.02 (0.98–1.06) 0.27
   CSVD burden score 1.26 (0.75–2.13) 0.38
   MTA score 1.00 (0.99–1.01) 0.99

The mLV diameter value is the average of the measurements taken by three clinicians. BMI, body mass index; CI, confidence interval; CSVD, cerebral small vessel disease; DWMH, volume of deep white-matter high signal; JVWMH, volume of juxtaventricular white-matter high signal; mLVtotal, sum of meningeal lymphatic vessel diameter around superior sagittal sinus and transverse sinus; MR, magnetic resonance; MTA, medial temporal lobe atrophy; OR, odds ratio; PVSVF/WM, perivascular space volume fraction in white matter; PVWMH, volume of periventricular white-matter high signal; ref., reference.

DCA demonstrated that, across a range of clinically relevant threshold probabilities, the nomogram provided a higher net benefit than either the ‘treat-all’ or ‘treat-none’ strategy. At a threshold probability of 40%, the model yielded the greatest net benefit. Internal validation with 1,000 bootstrap resamples revealed excellent discrimination. The mean AUC was 0.82 (95% CI: 0. 75–0.90). The calibration plots showed close agreement between the predicted and observed probabilities. After bias correction, the mean absolute error was 0.02, indicating a high calibration accuracy (Figure 7).

Figure 7 Clinical prediction nomogram and model performance. (A) The forest plot of factors obtained through multivariate logistic regression analysis for FTR. (B) The nomogram established for prediction of FTR. Nomogram integrating mLVtotal, gender, number of extracranial lesions, and immunotherapy exposure to estimate the probability of favorable therapeutic response in patients with NSCLC brain metastases. Each variable is assigned points on the upper scale; the summed points correspond to the predicted probability on the lower scale. (C) Multivariate logistic regression results with ORs and 95% CIs. The ROC curve of the multivariate model is shown (AUC =0.847; 95% CI: 0.771–0.923). Operating points are presented as threshold (specificity, sensitivity). 0.660 (0.864, 0.714) indicates a threshold of 0.660 yielding a specificity of 0.864 and a sensitivity of 0.714. (D) Calibration curves for the FTR of nomogram predictions. (E) Decision curve analysis demonstrating superior net clinical benefit of the nomogram across threshold probabilities of 0–100% compared with the treat-all or treat-none strategies. AUC, area under the curve; CIs, confidence intervals; FTR, favorable treatment response; mLVtotal, total meningeal lymphatic vessel diameter; NSCLC, non-small cell lung cancer; ORs, odds ratios; ref., reference; ROC, receiver operating characteristic.

Discussion

In this study, high-resolution MRI revealed that the diameters of the mLVs around the SSS and TS were significantly larger in patients with NSCLC BM than in non-BM controls, which is consistent with histopathological evidence of tumor-associated lymphangiogenesis (9,19,21,22). Such enlargement may reflect increased interstitial fluid drainage demand, inflammatory activation, and VEGF-C/VEGFR-3 pathway upregulation within the tumor microenvironment (11,22,23).

Longitudinally, mLV caliber decreased after therapy in patients achieving SD/PR but increased in those experiencing PD across both dural and peritumoral regions. This bidirectional remodeling, as evidenced by significant between-group Δ-mLV differences, suggests that mLV morphology dynamically mirrors the balance between tumor control and progression-driven lymphatic expansion. Regression in responders may result from reduced peritumoral inflammation and the normalization of fluid dynamics (2,24), whereas continued dilation in PD may indicate persistent lymphangiogenic signaling (25,26).

These imaging-based observations align with preclinical data indicating that mLV ablation or dysfunction impairs CNS immune surveillance and accelerates tumor growth (27,28), while enhanced mLV function facilitates antigen trafficking to cervical lymph nodes and augments the efficacy of immunotherapy (10,29). The multivariable model integrating the mLVtotal, immunotherapy exposure, sex, and extracranial lesion count achieved strong discrimination (AUC =0.82), good calibration, and stable net clinical benefit. Notably, immunotherapy in our cohort also served as a surrogate for PD-L1-high selection, introducing potential confounding by indication (30,31). The causal relationship between lymphatic capacity and immunotherapy benefit warrants further prospective validation (32).

Sex and extracranial lesion count emerged as independent predictors: female sex was associated with higher odds of favorable response (33), whereas greater extracranial burden predicted poorer outcomes, consistent with the influence of systemic disease load and host factors on antitumor immunity (30,31,34).

Regarding glymphatic metrics, PVSVF/WM was lower in BM than controls, increased posttreatment in those with SD/PR, and decreased in those with PD, potentially reflecting restored glymphatic-lymphatic coupling in responders. However, tumor occupancy, segmentation bias, and edema effects remain plausible explanations (24,35,36).

Clinically, BB-MRI-derived mLV measures offer a feasible, noninvasive adjunct for early treatment assessment. In our 3- to 6-month follow-up, mLV regression paralleled favorable outcomes, while continued expansion was associated with resistance. DCA indicated a maximum net benefit near a 40% predicted-probability threshold. Prospective, multicenter studies with predefined Δ-mLV cutoffs, standardized imaging intervals, and survival endpoints are needed (22,37).

Limitations

There are several limitations in this study. First, the single-center sample was modest; although the events-per-variable ratio was acceptable, the small cohort increases the risk of model instability and potential overfitting from stepwise selection. Second, the outcome definition relied on a fixed imaging interval, which may not fully reflect heterogeneous treatment dynamics. Third, only internal bootstrap validation was performed; while this provided optimism-corrected estimates, external multicenter validation is required to establish generalizability. Fourth, this study does not directly compare with benchmark models such as the GPA, and therefore we did not benchmark against established tools, limiting assessment of incremental value. Finally, the incorporation of BB-MRI-derived meningeal lymphatic parameters remains exploratory, and further prospective studies are needed to confirm their clinical utility beyond simpler predictors.


Conclusions

Baseline mLV parameters independently predict systemic therapy response in patients with BMs, and their predictive value is greater in patients selected for immunotherapy on the basis of high PD-L1 expression. Longitudinal changes in mLV diameter, together with quantitative PVS:WM ratios, can serve as early, noninvasive indicators of therapeutic efficacy or resistance. These integrated imaging parameters offer a robust framework for precision immunotherapy in intracranial metastatic disease. However, in the absence of external validation, their generalizability and clinical applicability remain uncertain and should be interpreted with caution until confirmed in independent cohorts.


Acknowledgments

None.


Footnote

Reporting Checklist: The authors have completed the TRIPOD reporting checklist. Available at https://tlcr.amegroups.com/article/view/10.21037/tlcr-2025-aw-1154/rc

Data Sharing Statement: Available at https://tlcr.amegroups.com/article/view/10.21037/tlcr-2025-aw-1154/dss

Peer Review File: Available at https://tlcr.amegroups.com/article/view/10.21037/tlcr-2025-aw-1154/prf

Funding: This work was financially supported by The National Natural Science Foundation of China (No. 82403145).

Conflicts of Interest: All authors have completed the ICMJE uniform disclosure form (available at https://tlcr.amegroups.com/article/view/10.21037/tlcr-2025-aw-1154/coif). The authors have no conflicts of interest to declare.

Ethical Statement: The authors are accountable for all aspects of the work in ensuring that questions related to the accuracy or integrity of any part of the work are appropriately investigated and resolved.The study was conducted in accordance with the Declaration of Helsinki and its subsequent amendments. The study was approved by the Ethics Committee of the Affiliated Hospital of Jiangnan University (No. LS2024589). The requirement for informed consent was waived for this retrospective study since the data were anonymized.

Open Access Statement: This is an Open Access article distributed in accordance with the Creative Commons Attribution-NonCommercial-NoDerivs 4.0 International License (CC BY-NC-ND 4.0), which permits the non-commercial replication and distribution of the article with the strict proviso that no changes or edits are made and the original work is properly cited (including links to both the formal publication through the relevant DOI and the license). See: https://creativecommons.org/licenses/by-nc-nd/4.0/.


References

  1. Arvold ND, Lee EQ, Mehta MP, et al. Updates in the management of brain metastases. Neuro Oncol 2016;18:1043-65. [Crossref] [PubMed]
  2. Aspelund A, Antila S, Proulx ST, et al. A dural lymphatic vascular system that drains brain interstitial fluid and macromolecules. J Exp Med 2015;212:991-9. [Crossref] [PubMed]
  3. Gavrilovic IT, Posner JB. Brain metastases: epidemiology and pathophysiology. J Neurooncol 2005;75:5-14. [Crossref] [PubMed]
  4. Patel KR, Prabhu RS, Kandula S, et al. Intracranial control and radiographic changes with adjuvant radiation therapy for resected brain metastases: whole brain radiotherapy versus stereotactic radiosurgery alone. J Neurooncol 2014;120:657-63. [Crossref] [PubMed]
  5. Valiente M, Ahluwalia MS, Boire A, et al. The Evolving Landscape of Brain Metastasis. Trends Cancer 2018;4:176-96. [Crossref] [PubMed]
  6. Suh JH, Kotecha R, Chao ST, et al. Current approaches to the management of brain metastases. Nat Rev Clin Oncol 2020;17:279-99. [Crossref] [PubMed]
  7. Shah UA, Shah N, Qiao B, et al. Epidemiology and survival trend of adult T-cell leukemia/lymphoma in the United States. Cancer 2020;126:567-74. [Crossref] [PubMed]
  8. Crouzen JA, Mast ME, Hakstege M, et al. External validation of the lung-molGPA to predict survival in patients treated with stereotactic radiotherapy for brain metastases of non-small cell lung cancer. Radiother Oncol 2024;198:110405. [Crossref] [PubMed]
  9. Louveau A, Smirnov I, Keyes TJ, et al. Structural and functional features of central nervous system lymphatic vessels. Nature 2015;523:337-41. [Crossref] [PubMed]
  10. Wen N, Xiao X, Lu H, et al. Immuno-oncological interactions between meningeal lymphatics and glioblastoma: from mechanisms to therapies. Theranostics 2025;15:6983-7000. [Crossref] [PubMed]
  11. Song E, Mao T, Dong H, et al. VEGF-C-driven lymphatic drainage enables immunosurveillance of brain tumours. Nature 2020;577:689-94. [Crossref] [PubMed]
  12. Antonios JP, Soto H, Everson RG, et al. PD-1 blockade enhances the vaccination-induced immune response in glioma. JCI Insight 2016;1:e87059. [Crossref] [PubMed]
  13. Dai Y, Yu X, Zhao Y, et al. Targeted Modulation of the Meningeal Lymphatic Reverse Pathway for Immunotherapy of Breast Cancer Brain Metastases. ACS Nano 2025;19:4830-44. [Crossref] [PubMed]
  14. Absinta M, Ha SK, Nair G, et al. Human and nonhuman primate meninges harbor lymphatic vessels that can be visualized noninvasively by MRI. Elife 2017;6:e29738. [Crossref] [PubMed]
  15. Kim JH, Yoo RE, Choi SH, et al. Non-invasive flow mapping of parasagittal meningeal lymphatics using 2D interslice flow saturation MRI. Fluids Barriers CNS 2023;20:37. [Crossref] [PubMed]
  16. Wang G, Yang X, Duan J, et al. Cerebral Venous Thrombosis: MR Black-Blood Thrombus Imaging with Enhanced Blood Signal Suppression. AJNR Am J Neuroradiol 2019;40:1725-30. [Crossref] [PubMed]
  17. Wang M, Yan C, Li X, et al. Non-invasive modulation of meningeal lymphatics ameliorates ageing and Alzheimer's disease-associated pathology and cognition in mice. Nat Commun 2024;15:1453. [Crossref] [PubMed]
  18. Wang M, Ran L, Liu B, et al. Disturbed meningeal lymphatic function associated with malignancy and progression in patients with intracranial malignant tumors. Med 2023;4:898-912.e4. [Crossref] [PubMed]
  19. Hu X, Deng Q, Ma L, et al. Meningeal lymphatic vessels regulate brain tumor drainage and immunity. Cell Res 2020;30:229-43. [Crossref] [PubMed]
  20. Xing X, Zhong J, Biermann J, et al. Pan-cancer human brain metastases atlas at single-cell resolution. Cancer Cell 2025;43:1242-1260.e9. [Crossref] [PubMed]
  21. Zhao MY, Ye CY, Liu YC, et al. Role of meningeal lymphatic vessels in brain homeostasis. Front Immunol 2025;16:1593630. [Crossref] [PubMed]
  22. Zhang Q, Niu Y, Li Y, et al. Meningeal lymphatic drainage: novel insights into central nervous system disease. Signal Transduct Target Ther 2025;10:142. [Crossref] [PubMed]
  23. Tammela T, Alitalo K. Lymphangiogenesis: Molecular mechanisms and future promise. Cell 2010;140:460-76. [Crossref] [PubMed]
  24. Nishioka K, Kawamura M, Iima M, et al. The glymphatic system in oncology: from the perspective of a radiation oncologist. J Radiat Res 2025;66:343-53. [Crossref] [PubMed]
  25. Hsu M, Rayasam A, Kijak JA, et al. Neuroinflammation-induced lymphangiogenesis near the cribriform plate contributes to drainage of CNS-derived antigens and immune cells. Nat Commun 2019;10:229. [Crossref] [PubMed]
  26. Qi L, Li X, Zhang F, et al. VEGFR-3 signaling restrains the neuron-macrophage crosstalk during neurotropic viral infection. Cell Rep 2023;42:112489. [Crossref] [PubMed]
  27. Louveau A, Herz J, Alme MN, et al. CNS lymphatic drainage and neuroinflammation are regulated by meningeal lymphatic vasculature. Nat Neurosci 2018;21:1380-91. [Crossref] [PubMed]
  28. Da Mesquita S, Louveau A, Vaccari A, et al. Functional aspects of meningeal lymphatics in ageing and Alzheimer's disease. Nature 2018;560:185-91. [Crossref] [PubMed]
  29. Louveau A, Plog BA, Antila S, et al. Understanding the functions and relationships of the glymphatic system and meningeal lymphatics. J Clin Invest 2017;127:3210-9. [Crossref] [PubMed]
  30. Zhang M, Liu C, Tu J, et al. Advances in cancer immunotherapy: historical perspectives, current developments, and future directions. Mol Cancer 2025;24:136. [Crossref] [PubMed]
  31. Pinho SS, Macauley MS, Läubli H. Tumor glyco-immunology, glyco-immune checkpoints and immunotherapy. J Immunother Cancer 2025;13:e012391. [Crossref] [PubMed]
  32. Lund AW. Immune Potential Untapped: Leveraging the Lymphatic System for Cancer Immunotherapy. Cancer Immunol Res 2022;10:1042-6. [Crossref] [PubMed]
  33. Rubin JB, Abou-Antoun T, Ippolito JE, et al. Epigenetic developmental mechanisms underlying sex differences in cancer. J Clin Invest 2024;134:e180071. [Crossref] [PubMed]
  34. Ye Y, Jing Y, Li L, et al. Sex-associated molecular differences for cancer immunotherapy. Nat Commun 2020;11:1779. [Crossref] [PubMed]
  35. Ringstad G, Eide PK. Glymphatic-lymphatic coupling: assessment of the evidence from magnetic resonance imaging of humans. Cell Mol Life Sci 2024;81:131. [Crossref] [PubMed]
  36. BenyardBSoniNDSwainAMagnetic Resonance Imaging for Improved Brain Tumor Detection.bioRxiv 2025. doi: .
  37. Kee TP, Krings T. Glymphatics in neurovascular diseases. J Neurointerv Surg 2025; [Crossref]

(English Language Editor: J. Gray)

Cite this article as: Shao W, Li Z, Qiu F, Zhang H, Hu S, Liu Y, Li D, Ge Y, Lu H. Development and validation of a multivariable prognostic model incorporating black-blood magnetic resonance imaging-based meningeal lymphatic remodeling to predict therapy response in non-small cell lung cancer brain metastases. Transl Lung Cancer Res 2025;14(11):5059-5073. doi: 10.21037/tlcr-2025-aw-1154

Download Citation